Ayrık Diş Tedavisi Nedir ve Nasıl Yapılır?
Gülüşünüzü ertelemeyin. Uzman hekimlerimizle tedavi seçeneklerini görüşmek için hemen yazın.
WhatsAppAğız ve diş estetiğinde sıkça karşılaşılan sorunlardan biri olan Ayrık Diş, hem görsel hem de fonksiyonel açıdan birçok kişinin dikkatini çeker. Dişler arasında oluşan boşluklar, bazı bireyler için karakteristik bir görünüm sağlarken, bazıları için estetik kaygıya dönüşebilir. Bu yazıda Ayrık Diş probleminin nedenlerinden tedavi yöntemlerine kadar geniş bir perspektif sunulmaktadır.
Diş hekimliği literatüründe “diastema” olarak tanımlanan bu durum, yalnızca ön dişlerde değil farklı bölgelerde de görülebilir. Gelişen dental teknolojiler sayesinde Ayrık Diş tedavisi artık daha hızlı, konforlu ve kişiye özel çözümlerle ele alınmaktadır.
İçindekiler
- Ayrık Diş Nedir ve Neden Oluşur?
- Ayrık Diş Estetik ve Fonksiyonel Açıdan Ne Anlama Gelir?
- Ayrık Diş Tedavisi Nasıl Yapılır?
- Ayrık Diş Tedavi Yöntemlerinin Karşılaştırılması
- Ayrık Diş Tedavisinde Hangi Yöntem Daha Uygun?
- Ayrık Diş Tedavisi Sonrası Süreç Nasıldır?
- Ayrık Diş Tedavisi Kimler İçin Uygundur?
- Ayrık Diş ile Yaşamak mı, Tedavi Etmek mi?

Ayrık Diş Nedir ve Neden Oluşur?
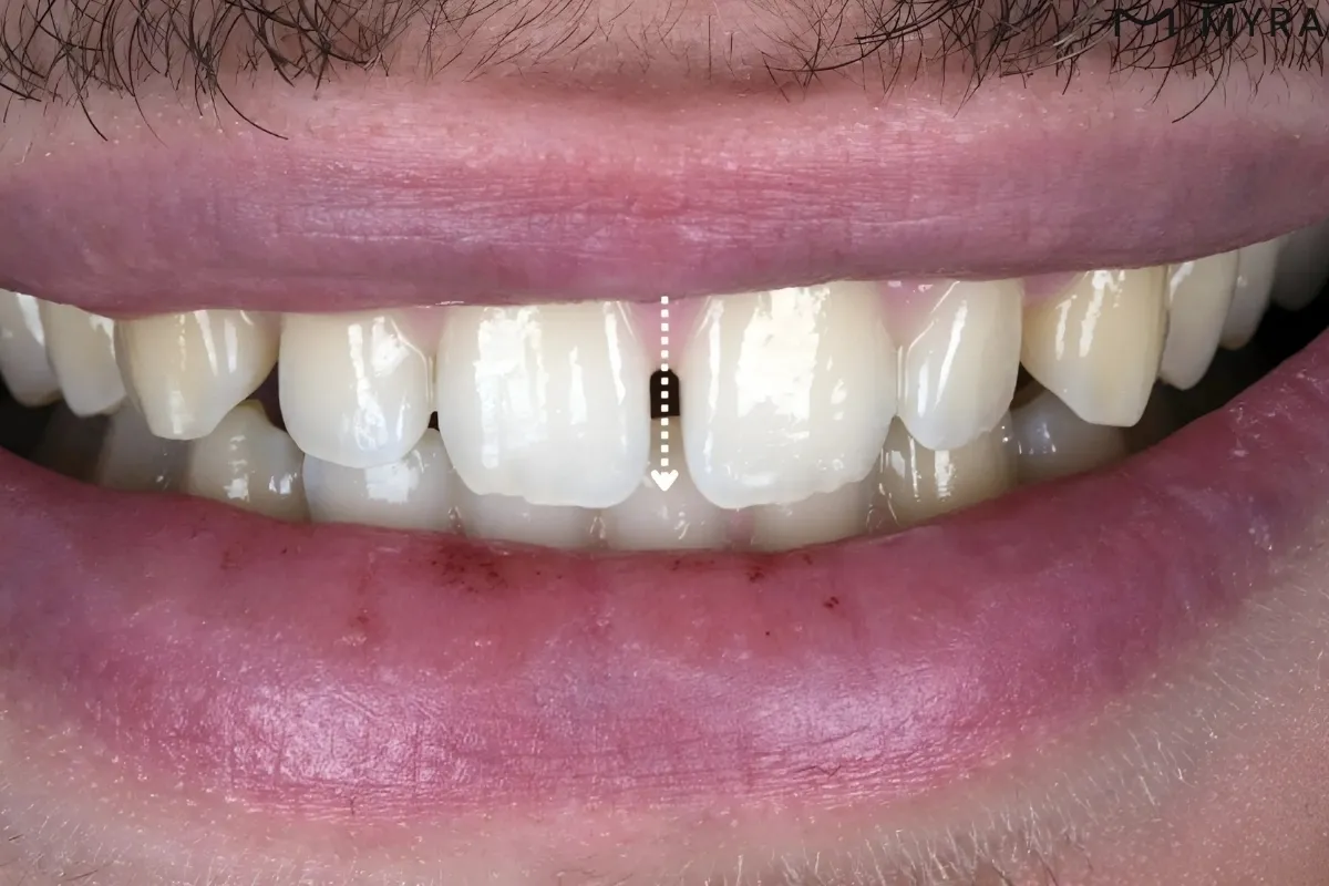
Ayrık Diş, iki diş arasında normalden daha fazla boşluk bulunması durumudur. Bu boşluklar genetik faktörlerden alışkanlıklara kadar birçok nedene bağlı olarak ortaya çıkabilir. Özellikle ön kesici dişler arasındaki boşluklar estetik açıdan daha belirgin hale gelir.
Bu durumun oluşmasında en yaygın nedenlerden biri çene ve diş boyutu arasındaki uyumsuzluktur. Dişler küçük ya da çene yapısı geniş olduğunda boşluk oluşabilir. Bunun yanında dil itme alışkanlığı, parmak emme, diş eti hastalıkları ve eksik dişler de Ayrık Diş oluşumuna zemin hazırlayabilir.
Bazı araştırmalar, çocukluk döneminde ortaya çıkan diş aralıklarının ilerleyen yaşlarda kendiliğinden kapanabileceğini gösterirken, yetişkinlerde bu durumun genellikle kalıcı olduğu gözlemlenir.
Ayrık Diş Estetik ve Fonksiyonel Açıdan Ne Anlama Gelir?
Ayrık Diş her zaman bir problem olarak değerlendirilmez. Bazı kültürlerde bu durum estetik bir özellik olarak kabul edilir. Ancak bireysel beklentiler ve sosyal algılar, bu boşlukların tedavi edilme isteğini artırabilir.
Fonksiyonel açıdan değerlendirildiğinde, dişler arasındaki boşluklar yiyecek birikimine neden olabilir. Bu durum ağız hijyenini zorlaştırabilir ve uzun vadede diş eti problemlerine yol açabilir. Ayrıca bazı vakalarda konuşma fonksiyonunda hafif değişiklikler gözlemlenebilir.
Bu nedenle Ayrık Diş yalnızca estetik değil, aynı zamanda fonksiyonel bir değerlendirme ile ele alınmalıdır.
Ayrık Diş Tedavisi Nasıl Yapılır?
Modern diş hekimliği, Ayrık Diş tedavisinde farklı yöntemler sunar. Tedavi planı, boşluğun büyüklüğüne, nedenine ve hastanın beklentilerine göre şekillenir.
En yaygın yöntemlerden biri ortodontik tedavidir. Şeffaf plaklar veya braketler kullanılarak dişler zamanla birbirine yaklaştırılır. Bu yöntem, doğal diş yapısını korumayı hedefler.
Bir diğer yöntem ise bonding uygulamasıdır. Kompozit dolgu malzemesi kullanılarak dişler arasındaki boşluk kapatılır. Bu işlem genellikle tek seansta tamamlanabilir ve minimal müdahale gerektirir.
Lamine veneer kaplamalar da estetik açıdan tercih edilen çözümler arasındadır. Diş yüzeyine ince porselen tabakalar yerleştirilerek hem boşluk kapatılır hem de estetik görünüm iyileştirilir.
Ayrık Diş Tedavi Yöntemlerinin Karşılaştırılması
Aşağıdaki tablo, Ayrık Diş tedavisinde kullanılan yöntemlerin genel özelliklerini karşılaştırmalı olarak sunar:
|
Tedavi Yöntemi |
Uygulama Süresi |
Kalıcılık |
Estetik Sonuç |
Müdahale Seviyesi |
|
Ortodontik Tedavi |
Uzun |
Yüksek |
Doğal |
Düşük |
|
Bonding |
Kısa |
Orta |
İyi |
Çok düşük |
|
Lamine Veneer |
Orta |
Yüksek |
Çok yüksek |
Orta |
Her yöntemin avantajları ve sınırlamaları bulunmaktadır. Bu nedenle Ayrık Diş tedavisi planlanırken kişiye özel değerlendirme önemlidir.

Ayrık Diş Tedavisinde Hangi Yöntem Daha Uygun?
Ayrık Diş tedavisinde en uygun yöntem, boşluğun nedeni ve büyüklüğüne göre değişir. Küçük boşluklar genellikle bonding ile hızlı şekilde kapatılabilirken, daha büyük aralıklar ortodontik tedavi gerektirebilir.
Estetik beklentisi yüksek olan bireylerde veneer uygulamaları ön plana çıkabilir. Ancak bu yöntemde diş yüzeyinde minimal aşındırma yapılması gerekebilir. Bu nedenle karar sürecinde hem estetik hem de biyolojik faktörler dikkate alınır.
Bazı durumlarda birden fazla yöntemin birlikte kullanılması da mümkündür. Örneğin ortodontik tedavi sonrası küçük boşluklar bonding ile tamamlanabilir. Bu hibrit yaklaşım, Ayrık Diş tedavisinde daha dengeli sonuçlar sunabilir.
Ayrık Diş Tedavisi Sonrası Süreç Nasıldır?
Tedavi sonrası süreç, uygulanan yönteme bağlı olarak değişiklik gösterir. Ortodontik tedavi sonrası genellikle pekiştirme apareyleri kullanılır. Bu, dişlerin eski konumuna dönmesini önlemeyi amaçlar.
Bonding veya veneer uygulamalarında ise düzenli ağız bakımı büyük önem taşır. Dişlerin temiz tutulması ve sert gıdalardan kaçınılması önerilir. Bu sayede Ayrık Diş tedavisinin etkisi daha uzun süre korunabilir.
Uzun vadede düzenli diş hekimi kontrolleri, elde edilen estetik ve fonksiyonel sonucun sürdürülebilirliğini destekler.
Ayrık Diş Tedavisi Kimler İçin Uygundur?
Genel olarak sağlıklı diş ve diş eti yapısına sahip bireyler Ayrık Diş tedavisi için uygun adaylar arasında yer alır. Ancak aktif diş eti hastalığı bulunan kişilerde öncelikle bu problemin kontrol altına alınması gerekir.
Çocukluk döneminde görülen diş aralıkları çoğu zaman gelişimsel süreçte kapanabilir. Bu nedenle erken yaşta müdahale her zaman gerekli olmayabilir. Yetişkinlerde ise tedavi ihtiyacı daha net ortaya çıkar.
Her bireyin ağız yapısı farklı olduğu için Ayrık Diş tedavisi mutlaka kişisel analizlere dayandırılmalıdır.
Ayrık Diş ile Yaşamak mı, Tedavi Etmek mi?
Ayrık Diş bazı kişiler için estetik bir imza niteliği taşır. Moda ve medya dünyasında bu görünümün bilinçli olarak tercih edildiği örnekler de bulunmaktadır. Bu nedenle tedavi kararı tamamen bireysel tercihlere bağlıdır.
Ancak estetik kaygının yanı sıra ağız sağlığı da dikkate alınmalıdır. Boşlukların plak birikimine yol açması, uzun vadede diş eti problemlerini tetikleyebilir. Bu nedenle yalnızca görünüm değil, fonksiyon da değerlendirilmelidir.
Sonuç olarak Ayrık Diş tedavisi bir zorunluluk değil, bir seçenektir. Kişinin beklentileri ve ihtiyaçları doğrultusunda şekillenir.
Ayrık Diş, hem estetik hem de fonksiyonel açıdan farklı şekillerde değerlendirilebilen bir diş yapısı özelliğidir. Gelişen diş hekimliği teknikleri sayesinde bu durum için birçok farklı çözüm sunulmaktadır.
Ortodontik tedaviden bonding uygulamalarına kadar geniş bir yelpazede seçenekler bulunur. Hangi yöntemin tercih edileceği ise bireyin ağız yapısına, beklentilerine ve yaşam tarzına bağlı olarak değişir.
Avrupa Sağlık Diş olarak, her bireyin gülüş tasarımının kendine özgü olduğu anlayışıyla hareket edilir. Bu nedenle Ayrık Diş tedavisine yaklaşım da kişiye özel planlamalarla ele alınır.

