Dikkat Edilmesi Gereken Diş Eti Çekilmesinin 5 Aşaması
Gülüşünüzü ertelemeyin. Uzman hekimlerimizle tedavi seçeneklerini görüşmek için hemen yazın.
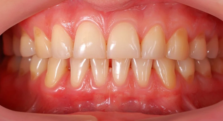
WhatsAppDiş Eti Çekilmesi, yalnızca estetik bir sorun olarak algılansa da aslında ağız sağlığının genel durumunu yansıtan önemli bir göstergedir. Zamanla diş köklerinin açığa çıkması, hassasiyet artışı ve diş boylarında uzama hissi gibi belirtilerle kendini gösteren Diş Eti Çekilmesi, farklı evrelerde ilerleyebilir. Bu ilerleme çoğu zaman sessizdir ve kişi fark ettiğinde süreç belirli bir aşamaya ulaşmış olabilir.
İçindekiler
- Diş Eti Çekilmesi Nedir ve Nasıl Başlar?
- 1. Aşama Diş Eti Çekilmesi Belirtileri
- 2. ve 3. Aşamada Diş Eti Çekilmesi Nasıl İlerler?
- 4. Aşama Diş Eti Çekilmesi ve Fonksiyonel Etkileri
- 5. Aşama Diş Eti Çekilmesi ve Olası Riskler
- Diş Eti Çekilmesi Hangi Faktörlerle Hızlanabilir?
- Diş Eti Çekilmesi Nasıl Fark Edilir?
- Diş Eti Çekilmesini Erken Tanımanın Önemi

Diş Eti Çekilmesi Nedir ve Nasıl Başlar?
Diş Eti Çekilmesi, dişi çevreleyen yumuşak dokunun kök yüzeyine doğru gerilemesi durumudur. Bu süreçte dişin normalde görünmeyen kök kısmı açığa çıkabilir. Gingival resesyon olarak da tanımlanan bu durum, çoğunlukla yavaş ilerler ve başlangıç evresinde belirgin ağrı oluşturmaz.
Bilimsel yayınlar, diş eti gerilemesinin çoğu zaman plak birikimi, sert fırçalama alışkanlığı ve periodontal dokuların zayıflaması ile ilişkili olduğunu göstermektedir. Ancak her bireyde aynı hızda ilerlemez. Genetik faktörler, dişlerin konumu ve kemik yapısı da bu süreci etkileyebilir.
Başlangıç aşamasında Diş Eti Çekilmesi hafif bir hassasiyetle kendini gösterebilir. Soğuk veya sıcak temasında kısa süreli rahatsızlık oluşabilir. Bu evre, çoğu kişinin fark etmeden geçtiği bir dönemdir.
1. Aşama Diş Eti Çekilmesi Belirtileri
İlk aşama Diş Eti Çekilmesi, genellikle milimetrik gerileme ile başlar. Diş eti hattında hafif bir düzensizlik fark edilebilir. Aynı zamanda diş boyu uzamış gibi görünebilir ancak bu fark çoğu zaman dikkatli bakılmadıkça anlaşılmaz.
Bu evrede periodontal bağ dokusu büyük ölçüde korunur. Kemik desteği kaybı minimaldir. Ancak diş eti dokusunun incelmesi, ilerleyen dönemler için zemin hazırlayabilir. Araştırmalar, erken evrede fark edilen diş eti gerilemesinin ilerleme hızının daha düşük olabileceğini göstermektedir.
İlk aşama, sürecin en kritik noktasıdır. Çünkü bu aşamada Diş Eti Çekilmesi geri döndürülebilir değilse bile ilerlemesi yavaşlatılabilir kabul edilir. Elbette her vaka bireysel değerlendirme gerektirir.
2. ve 3. Aşamada Diş Eti Çekilmesi Nasıl İlerler?
Orta evre olarak değerlendirilen 2. ve 3. aşamada Diş Eti Çekilmesi daha belirgin hale gelir. Diş kök yüzeyi daha fazla açığa çıkar. Hassasiyet artabilir ve bazı bireylerde estetik kaygılar oluşabilir.
Bu aşamada gingival resesyon, sadece yumuşak dokuyu değil, destek dokuları da etkileyebilir. Periodontal ligament ve alveolar kemik dokusunda kısmi kayıplar gözlemlenebilir. Klinik çalışmalarda, bu evrede plak kontrolünün öneminin arttığı belirtilmektedir.
Aşağıdaki tablo, erken ve orta evre Diş Eti Çekilmesi arasındaki temel farkları özetler:
|
Özellik |
1. Aşama |
2. ve 3. Aşama |
|
Diş kökü görünümü |
Hafif |
Belirgin |
|
Hassasiyet |
Minimal |
Artış gösterebilir |
|
Kemik kaybı |
Yok veya çok az |
Kısmi olabilir |
|
Estetik değişim |
Fark edilmez |
Görsel değişim belirgin |
Bu evrede diş eti gerilemesi, diş aralarında siyah üçgen boşluklara da yol açabilir. Bu durum, gülüş estetiğini etkileyebilir.
4. Aşama Diş Eti Çekilmesi ve Fonksiyonel Etkileri
İleri evre Diş Eti Çekilmesi, yalnızca estetik değil fonksiyonel sonuçlar da doğurabilir. Diş kökünün büyük kısmı açığa çıkabilir. Bu durum çiğneme sırasında rahatsızlık hissine neden olabilir.
Periodontal çekilme ilerledikçe diş stabilitesi azalabilir. Literatürde, ileri gingival resesyon vakalarında mobilite artışı gözlemlendiği bildirilmektedir. Ancak her ileri aşama vakasında diş kaybı oluşacağı anlamına gelmez.
Bu evrede Diş Eti Çekilmesi, ağız hijyenini zorlaştırabilir. Kök yüzeyinin daha pürüzlü yapısı plak tutulumunu artırabilir. Böylece bir kısır döngü oluşabilir.
5. Aşama Diş Eti Çekilmesi ve Olası Riskler
En ileri evre Diş Eti Çekilmesi, ciddi doku kaybı ile karakterizedir. Diş kökleri tamamen açığa çıkabilir ve kemik desteği belirgin şekilde azalabilir.
Bilimsel analizlerde, bu seviyedeki periodontal kaybın sistemik sağlıkla da ilişkili olabileceği tartışılmaktadır. Ancak bu konuda kesin yargılardan kaçınılmalı, her bireyin klinik tablosunun farklı olduğu unutulmamalıdır.
1. Aşamada Diş Eti Çekilmesi, diş kaybı riskini artırabilir. Bununla birlikte uygun değerlendirme ve planlama ile farklı tedavi yaklaşımları gündeme gelebilir. Bu noktada uzman görüşü belirleyicidir.

Diş Eti Çekilmesi Hangi Faktörlerle Hızlanabilir?
Diş Eti Çekilmesinin ilerleme hızını etkileyen birçok faktör bulunmaktadır:
- Sert kıllı diş fırçası kullanımı
- Yanlış fırçalama tekniği
- Diş sıkma alışkanlığı
- Ortodontik kuvvetler
- Genetik yatkınlık
Bu faktörler tek başına belirleyici değildir. Ancak bir araya geldiklerinde diş eti gerilemesi sürecini hızlandırabilirler.
Ayrıca sigara kullanımı ve hormonal değişimler de gingival dokunun dayanıklılığını etkileyebilir. Araştırmalar, sigara kullanan bireylerde periodontal problemlerin daha sık görüldüğünü ortaya koymaktadır.
Diş Eti Çekilmesi Nasıl Fark Edilir?
Diş Eti Çekilmesi çoğu zaman yavaş ilerlediği için erken evrede gözden kaçabilir. Aşağıdaki belirtiler dikkat çekici olabilir:
- Diş boylarında uzama hissi
- Soğuk hassasiyeti
- Diş eti hattında asimetri
- Diş aralarında boşluk oluşumu
Bu belirtiler, gingival resesyonun habercisi olabilir. Ancak kesin değerlendirme için klinik muayene gereklidir.
Bazı bireylerde Diş Eti Çekilmesi ağrısız ilerler. Bu nedenle düzenli kontroller, sürecin takibinde önemli rol oynar.
Diş Eti Çekilmesini Erken Tanımanın Önemi
Diş Eti Çekilmesi, başlangıçta küçük bir estetik değişim gibi görünse de zamanla daha kapsamlı sonuçlar doğurabilir. 5 aşamada incelenen bu süreç, her bireyde farklı hızda ilerler. Diş eti gerilemesi ve periodontal çekilme, erken evrede fark edildiğinde daha kontrollü yönetilebilir.
Avrupa Sağlık Diş olarak amacımız, Diş Eti Çekilmesi konusunda farkındalık oluşturmaktır. Bu yazı, konuyla ilgili kapsamlı ve bilimsel bir çerçeve sunmayı hedefler. Sağlıkla ilgili nihai kararlar için bireysel değerlendirme önemlidir.

