Diş Kaplamalarının Olası Riskleri ve Tehlikeleri: Bilmeniz Gerekenler
Gülüşünüzü ertelemeyin. Uzman hekimlerimizle tedavi seçeneklerini görüşmek için hemen yazın.
WhatsAppDiş kaplaması yaptırmayı düşünüyor musunuz? Birçok kişi estetik ve işlevsel nedenlerle bu tedaviye yöneliyor; ama internette gördüğünüz mükemmel "before/after" fotoğraflarının arkasında bazı gerçekler var. Diş kaplaması son derece başarılı bir tedavi yöntemidir; ancak her tıbbi uygulamada olduğu gibi, belirli riskleri ve dikkat edilmesi gereken noktaları vardır. Bu yazıda doğrudan ve dürüst bir bakış açısıyla diş kaplamasının olası tehlikelerini ele alacağız.
İçindekiler
- Diş Kaplaması Nedir? Hangi Durumlarda Tercih Edilir?
- Diş Kaplaması Geri Dönüşümsüz mü? En Önemli Gerçek
- Kaplama Sonrası Hassasiyet ve Ağrı: Ne Zaman Normal, Ne Zaman Sorun?
- Diş Eti Problemleri ve Kaplama Bağlantısı
- Kaplama Altında Çürük Olur mu?
- Diş Kaplaması Kırılır mı? Dayanıklılık Gerçeği
- Bruksizm (Diş Sıkma) Kaplama İçin Risk mi?
- Materyal Seçimi: Porselen, Zirkonyum ve E.Max Arasındaki Farklar
- Diş Kaplaması Risklerini Azaltmanın 7 Yolu
- Estetik Beklentiler ile Gerçekler Arasındaki Fark
- Sıkça Sorulan Sorular

Diş Kaplaması Nedir? Hangi Durumlarda Tercih Edilir?
Diş kaplaması, hasarlı veya görünüm olarak sorunlu dişlerin üzerine yerleştirilen sabit restorasyonlardır. Porselen, zirkonyum ya da E.Max materyallerden üretilebilirler. Halk arasında "diş kaplama", "kron" veya "kuron" olarak da bilinir.
Aşağıdaki durumlarda diş kaplaması sıklıkla tercih edilir:
- İleri derecede diş maddesi kaybı (büyük çürük, kırık)
- Kanal tedavisi sonrası zayıflayan diş yapısı
- Büyük dolgular nedeniyle güçsüz hale gelmiş dişler
- Renk değişimi veya şekil bozuklukları (kozmetik nedenler)
- Diş köprüsü uygulamasında destek diş ihtiyacı
- Çatlak ya da kırık dişlerin güçlendirilmesi
Diş kaplaması yüksek başarı oranına sahip, klinik olarak kanıtlanmış bir tedavi yöntemidir. Bilimsel literatürde, doğru endikasyonla uygulanan kronların 10-15 yıl ve üzeri süre fonksiyon görebildiği belirtilmektedir. Ancak "doğru endikasyon" ifadesinin üzerinde durmak gerekiyor; çünkü her diş ve her ağız yapısı farklıdır. Buradaki risklerin büyük çoğunluğu, yanlış planlama veya uygunsuz endikasyon seçiminden kaynaklanır.
Diş Kaplaması Geri Dönüşümsüz mü? En Önemli Gerçek
Diş kaplamasına karar verirken bilmeniz gereken belki de en kritik gerçek şudur: bu işlem büyük ölçüde geri dönüşümsüzdür.
Kaplama yapılabilmesi için dişin belirli oranda küçültülmesi, yani aşındırılması gerekir. Bu aşındırma miktarı kullanılacak materyale ve dişin konumuna göre değişmekle birlikte, genellikle diş yüzeyinin her yönden 0.5-2 mm arasında törpülenmesini içerir. Bu işlem yapıldıktan sonra doğal diş dokusunun büyük bir kısmı kalıcı olarak ortadan kalkar.
Bu ne anlama gelir?
- Kaplama ömrünü tamamladığında (ortalama 10-20 yıl), dişin yeniden kaplanması gerekir.
- Aşındırılmış bir dişin kaplamasız bırakılması mümkün değildir; diş her zaman bir restorasyon gerektirir.
- Her yenileme döngüsünde ek bir miktar aşındırma kaçınılmaz olabilir.
Bu durum, henüz sağlıklı ya da hafif sorunlu bir dişe salt estetik amaçla kaplama yaptırmak isteyenler için çok dikkatli düşünülmesi gereken bir noktadır. Lamine diş kaplama (veneer) gibi minimal invaziv alternatifler bazı durumlarda çok daha az doku kaybıyla sonuç verebilir.
Kaplama Sonrası Hassasiyet ve Ağrı: Ne Zaman Normal, Ne Zaman Sorun?
Kaplama uygulaması sırasında dişin aşındırılmasıyla dentin tabakası açığa çıkar. Dentin, milyonlarca ince tübül içeren hassas bir dokudur. Bu nedenle kaplama sonrasında sıcak, soğuk veya tatlı gibi uyaranlara karşı geçici hassasiyet gelişmesi oldukça yaygındır.
Klinik pratikte şu tabloyla sıkça karşılaşılır:
| Hassasiyet Türü | Süre | Değerlendirme |
| Sıcak/soğuğa kısa süreli duyarlılık | 1-4 hafta | Normal, geçici |
| Isırırken hafif rahatsızlık | 1-2 hafta | Oklüzyon ayarı ile çözülür |
| Spontan (uyarı olmadan) ağrı | Sürekli | Kanal tedavisi gerekebilir |
| 4 haftadan uzun süren hassasiyet | Uzun süreli | Mutlaka değerlendirme gerekir |
Önceden derin çürük geçmişi olan, büyük dolgu içeren ya da zaten sinir dokusuna yakın aşındırma yapılmış dişlerde kaplama sonrası kanal tedavisi ihtimali artabilir. Bu durum doğrudan kaplamanın yarattığı bir sorun olmaktan ziyade, dişin önceden var olan yapısal durumunun bir yansımasıdır. Ancak bu riski önceden öngörmek ve hastayı bilgilendirmek, iyi bir klinik değerlendirmenin parçasıdır.
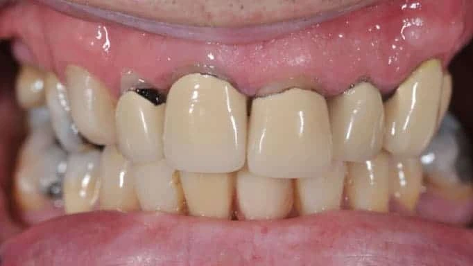
Diş Eti Problemleri ve Kaplama Bağlantısı
Diş kaplamasının uzun vadeli başarısını belirleyen en kritik faktörlerden biri marjinal uyumdur. Yani kaplamayı kenarının diş etiyle tam ve uyumlu bir ilişki kurması gerekir. Milimetrik hatalar bile ciddi sorunlara yol açabilir.
Uyumsuz kaplama kenarlarında şu sorunlar gelişebilir:
- Plak ve bakteri birikimi: Kaplama kenarında mikro boşluklar oluşursa, o alanlarda diş fırçasının ulaşması güçleşir. Bu bakteriyel birikim için ideal bir ortam yaratır.
- Gingivit ve periodontit riski: Sürekli plak birikimi diş eti iltihabına, uzun vadede kemik kaybına zemin hazırlar.
- Diş eti çekilmesi: Özellikle diş eti altına inen kaplama kenarları, diş eti dokusunu mekanik olarak tahriş ederek çekilmeye neden olabilir.
Periodontoloji alanındaki araştırmalar, kaplama kenarının diş eti seviyesiyle ilişkisinin uzun vadeli başarıda belirleyici bir rol oynadığını ortaya koymaktadır. Bu nedenle kron diş kaplama planlaması yapılırken diş eti sağlığının önce değerlendirilmesi ve gerekiyorsa tedavi edilmesi büyük önem taşır.
Kaplama Altında Çürük Olur mu?
Bu, hastalardan en sık duyduğumuz sorulardan biridir. Yanıt hem "hayır" hem de "evet" içeriyor.
Kaplama materyalinin kendisi (porselen, zirkonyum, E.Max) çürümez. Ancak altındaki doğal diş dokusu hala biyolojik bir yapıdır ve çürüğe karşı hassastır. Sekonder çürük olarak adlandırılan bu durum, en sık şu nedenlerle ortaya çıkar:
- Marjinal sızıntı: Kaplama kenarında zamanla oluşan mikroçatlaklar bakterilerin diş dokusuna sızmasına izin verir.
- Yetersiz ağız hijyeni: Kaplama kenarlarında temizliğin ihmal edilmesi plak birikimine yol açar.
- Simantasyon kalitesi: Kullanılan yapıştırıcı sistemin özellikleri ve uygulamanın kalitesi marjinal sızdırmazlığı doğrudan etkiler.
Restoratif diş hekimliği literatüründe sekonder çürük, kaplama başarısızlıklarının önde gelen nedenlerinden biri olarak tanımlanmaktadır. Bir çalışmada, kaplama değişimlerinin yaklaşık yüzde otuzunun sekonder çürük ya da marjinal uyumsuzluktan kaynaklandığı bildirilmektedir.
Bu riski azaltmanın yolu öncelikle kaliteli klinik uygulama, ardından düzenli diş hekimi kontrolü ve iyi ağız hijyenidir.
Diş Kaplaması Kırılır mı? Dayanıklılık Gerçeği
Zirkonyum ve E.Max gibi modern materyaller son derece dayanıklıdır; ancak tamamen kırılmaz değildir. Doğru tasarım ve uygulama ile yüksek basınçlara dayanabilirler, ama şu faktörler risk yaratabilir:
- Yanlış kapanış (oklüzyon) planlaması: Üst ve alt dişlerin kapanma dengesi bozuksa kaplama üzerine aşırı kuvvet biner, bu da çatlama veya kırılmaya yol açabilir.
- Travma: Spor sırasında yaşanan darbeler, düşmeler kaplamayı aniden kırabilir.
- İnce materyal kalınlığı: Yeterli aşındırma yapılmadan yerleştirilen ince kaplamalar yapısal açıdan daha kırılgandır.
- Sert yiyeceklere ısırmak: Fındık, buz, sert şeker gibi yiyecekler hem doğal dişleri hem de kaplamaları tehdit eder.
Porselen diş kaplama estetik açıdan mükemmel sonuçlar verirken, yüksek kuvvet bölgelerinde (arka dişler) zirkonyum kaplamalar daha dayanıklı bir seçenek olarak öne çıkabilir. Materyal seçimi hastanın ağız yapısına, kapanış düzenine ve ihtiyaçlarına göre belirlenmelidir.

Bruksizm (Diş Sıkma) Kaplama İçin Risk mi?
Bruksizm, yani diş sıkma veya gıcırdatma alışkanlığı, hem doğal dişler hem de kaplamalar için ciddi bir risk faktörüdür. Bu alışkanlık çoğunlukla uyku sırasında gerçekleşir ve kişi farkında bile olmayabilir.
Bruksizmin kaplamalara etkileri:
- Kaplamada mikro çatlaklar oluşması
- Kaplamayı tutan simantasyonun zamanla gevşemesi
- Karşı çenedeki doğal dişlerin sert materyale karşı aşınması
- Çene ekleminde (TME) artan yük ve ağrı
Bruksizm tanısı konduysa veya şüpheleniliyorsa, diş kaplaması öncesinde bu sorunun ele alınması gerekir. Gece plağı kullanımı veya oklüzal tedavi seçenekleri hem kaplamaların ömrünü uzatır hem de ağız sağlığını korur.
Avrupa Sağlık Diş kliniğimizde, her kaplama planlaması öncesinde hastanın kapanış analizi ve bruksizm sorgulaması rutin değerlendirmemizin bir parçasıdır. Çünkü bu riskin önceden tespit edilmemesi, sonraki süreçte ciddi komplikasyonlara zemin hazırlayabilir.
Materyal Seçimi: Porselen, Zirkonyum ve E.Max Arasındaki Farklar
Diş kaplamasında materyal seçimi, hem dayanıklılık hem de estetik açısından belirleyici bir karardır. Her materyalin kendine özgü avantajları ve sınırlılıkları vardır.
| Materyal | Avantajlar | Dikkat Edilecekler | İdeal Kullanım |
| Tam Porselen | Doğal görünüm, ışık geçirgenliği | Yüksek kuvvete karşı kırılgan | Ön dişler, estetik bölge |
| Zirkonyum | Yüksek dayanıklılık, biyouyumluluk | Eski nesil: ışık geçirmez görünüm (yeni nesil çok daha iyi) | Arka dişler, köprü restorasyonları |
| E.Max (Lityum Disilikat) | Estetik + dayanıklılık dengesi | Fiyatı daha yüksek | Ön ve arka dişler, tek kronlar |
| Metal Altlıklı Porselen | Güçlü alt yapı | Metal sınır zamanla görünebilir, allerji riski | Köprüler (günümüzde daha az tercih edilir) |
Türk Diş Hekimleri Birliği'nin yayımladığı uygulama kılavuzlarında materyal seçiminin hastanın bireysel klinik parametrelerine göre yapılması gerektiği vurgulanmaktadır. Yalnızca maliyet ya da estetik beklentiye göre materyal seçilmesi, uzun vadede istenmeyen komplikasyonlara zemin hazırlayabilir.
E.Max diş kaplama ve zirkonyum diş kaplama seçenekleri hakkında ayrıntılı bilgi almak için ilgili sayfalarımızı inceleyebilirsiniz.
Diş Kaplaması Risklerini Azaltmanın 7 Yolu
Diş kaplaması riskleri kaçınılmaz değildir. Büyük çoğunluğu doğru önlemler ve dikkatli seçimlerle minimize edilebilir. İşte hem hekim hem de hasta olarak kontrol edebileceğiniz 7 kritik nokta:
- Deneyimli ve yetkin bir klinik seçin: Kaplama kalitesi büyük ölçüde uygulayan hekimin becerisi ve kullanılan laboratuvar altyapısının kalitesine bağlıdır. Kliniği değerlendirirken hasta yorumlarına, hekimlerin uzmanlık alanlarına ve kullanılan teknolojilere bakın.
- Tedavi öncesinde kapsamlı muayene talep edin: İyi bir kaplama planlaması panoramik röntgen, diş eti analizi ve kapanış değerlendirmesini içermelidir. Bu adımları atlayan planlamalar risk taşır.
- Ağız hijyeninizi ihmal etmeyin: Kaplama yaptırmak diş fırçalama ve diş ipi kullanımından muaf olmak demek değildir. Tam tersi; kaplama kenarları özen ister.
- Düzenli kontrollere gidin: Yılda en az iki kez diş hekimi kontrolü, olası sorunların erken tespit edilmesini sağlar. Mikro çatlak ya da sızıntı erken fark edilirse müdahale çok daha kolaydır.
- Bruksizm varsa gece plağı kullanın: Diş sıkma alışkanlığınız varsa, kaplama yaptırmadan önce ve sonra gece koruyucu kullanımı önerisine uyun.
- Sert yiyeceklerden kaçının: Buzlu içecekleri çiğnemek, sert kabuklu yiyeceklere ısırmak hem doğal dişleri hem de kaplamaları olumsuz etkiler.
- Gerçekçi beklentiler oluşturun: Dijital gülüş tasarımı ve önceden provizorya (geçici kaplama) aşaması, son sonucu görmenizi kolaylaştırır. Bu aşamayı atlamamak, estetik hayal kırıklığını önler.
Estetik Beklentiler ile Gerçekler Arasındaki Fark
Diş kaplamasına bağlı şikayetlerin kayda değer bir bölümü teknik değil, iletişimsel sorunlardan kaynaklanır. Hasta kafasında bir renk, bir form ya da bir boyut tasarlar; ancak klinik gerçeklikle örtüşmeyen beklentiler hayal kırıklığına yol açar.
Bu konuda dikkat edilmesi gereken noktalar:
- Fotoğraflar gerçeği tam yansıtmayabilir: Sosyal medyada gördüğünüz "mükemmel gülüş" fotoğrafları çoğunlukla filtre, ışık ve açı düzenlemeleriyle oluşturulmuştur. Bunu referans almak gerçekçi olmayabilir.
- Her ağız farklıdır: Diş boyutları, dudak şekli, yüz oranları ve dişeti çizgisi kişiye özgüdür. Başka birinin ağzında mükemmel görünen kaplama sizin için aynı sonucu vermeyebilir.
- Provizorya (geçici kaplama) süreci önemlidir: Kalıcı kaplama yapılmadan önce geçici kaplamayla birkaç gün geçirmek, tasarımın gerçek hayatta nasıl göründüğünü test etmenizi sağlar. Bu süreçteki geri bildirimleriniz son tasarımı şekillendirir.
- Renk seçimi ışık koşullarında yapılmalıdır: Doğal gün ışığında yapılan renk seçimi, klinik aydınlatması altında yapılandan daha doğru sonuç verir.
Avrupa Sağlık Diş kliniğimizde gülüş tasarımı aşaması, kaplama tedavisinin ayrılmaz bir parçası olarak ele alınmaktadır. Hastanın yüz analizi, diş oranları ve bireysel beklentileri ayrıntılı biçimde değerlendirilerek tedavi planlanır.

Sıkça Sorulan Sorular
Diş kaplaması kaç yıl dayanır?
Kullanılan materyale, ağız hijyenine, bruksizm varlığına ve düzenli kontrollere bağlı olarak diş kaplamaları ortalama 10-20 yıl arasında kullanılabilir. Zirkonyum kaplamalar, porselen kaplamalara kıyasla genellikle daha uzun ömürlüdür. Klinik çalışmalar, iyi bakım altında zirkonyum kronların 15 yılı aşkın süre sorunsuz çalışabildiğini göstermektedir.
Diş kaplaması yaptırmak ağrılı mı?
Kaplama uygulaması yerel anestezi altında yapılır, bu nedenle işlem sırasında ağrı hissedilmez. İşlem sonrasında birkaç günlük hassasiyet yaşanabilir; bu genellikle ağrı kesici ile kontrol altına alınır. Geçici kaplamanın takılıp kaldırılması esnasında hafif bir baskı hissi normal kabul edilir.
Diş kaplaması yaptırırken sağlıklı diş aşındırılmak zorunda mı?
Geleneksel kaplama (kron) uygulamasında evet, belirli oranda aşındırma zorunludur. Ancak lamine veneer gibi minimal invaziv alternatiflerde çok daha az doku kaybı söz konusudur. Bazı vakalarda hiç aşındırma yapılmadan da veneer uygulanabilir. Durumunuza en uygun seçeneği belirlemek için kapsamlı bir muayene gereklidir.
Kaplama olan dişte çürük olduğu nasıl anlaşılır?
Kaplama altındaki çürük çoğunlukla herhangi bir belirti vermeden ilerleyebilir. Bu nedenle düzenli kontrol ve röntgen takibi büyük önem taşır. Nadiren ısırırken hassasiyet, spontan ağrı ya da diş etinde şişlik gibi belirtiler görülebilir; bu durumda derhal diş hekiminize başvurmalısınız.
Diş kaplaması sonrası hangi yiyeceklerden kaçınmalıyım?
İlk 24-48 saatte çok sert, çok sıcak ve çok soğuk yiyeceklerden kaçınılmalıdır. Uzun vadede ise; buzlu içecekleri çiğnemek, çok sert kabuklu kuruyemişlere ısırmak ve sert şeker gibi yiyecekler hem kaplamalar hem de doğal dişler için risk taşır. Bunun dışında dengeli bir beslenme düzeniyle normal yaşantınıza devam edebilirsiniz.
Diş kaplamasına karar vermeden önce ne sorulmalı?
Tedaviye karar vermeden önce hekiminize şunları sorabilirsiniz: Neden kaplama öneriyorsunuz, alternatif seçenek var mı? Kaç dişim aşındırılacak? Hangi materyali ve neden öneriyorsunuz? Provizorya (geçici kaplama) uygulayacak mısınız? Sonuçtan memnun kalmazsam ne yapılabilir? Bu sorular hem tedaviyi anlamak hem de beklentilerinizi netleştirmek için oldukça faydalıdır.
Diş kaplaması, doğru planlama ve uygulama ile hem sağlıklı hem de uzun ömürlü bir çözüm olabilir. Riskler gerçek olmakla birlikte, büyük çoğunluğu önlenebilir niteliktedir. En önemli adım ise karar vermeden önce kendinizi doğru bilgilendirmek ve güvendiğiniz bir klinikle çalışmaktır. Daha ayrıntılı bilgi ve muayene için kliniğimizle iletişime geçebilirsiniz.

