Metal Diş Teli: Avantajları, Fiyatları ve Çeşitleri
Gülüşünüzü ertelemeyin. Uzman hekimlerimizle tedavi seçeneklerini görüşmek için hemen yazın.
WhatsAppMetal Diş Teli, ortodontik tedavilerin en köklü ve en çok tercih edilen yöntemlerinden biri olarak diş çapraşıklıklarının düzeltilmesinde önemli bir rol oynar. Günümüzde gelişen teknoloji sayesinde daha konforlu, daha estetik ve daha dayanıklı hale gelen Metal Diş Teli sistemleri, hem gençler hem de yetişkinler için güvenilir bir seçenek sunar. Avrupa Sağlık Diş olarak ortodonti alanındaki güncel yaklaşımları ve bilimsel gelişmeleri yakından takip ederek, hastalarımıza kapsamlı bir bilgilendirme sunmayı amaçlıyoruz.
İçindekiler
- Metal Diş Teli Nedir ve Nasıl Çalışır?
- Metal Diş Teli Çeşitleri Nelerdir?
- Metal Diş Teli Avantajları Nelerdir?
- Metal Diş Teli Tedavi Süreci Nasıl İlerler?
- Metal Diş Teli Fiyatları Neye Göre Belirlenir?
- Metal Diş Teli ve Estetik Kaygılar
- Metal Diş Teli Kimler İçin Uygundur?
- Metal Diş Teli ile Güvenli ve Etkili Ortodontik Yaklaşım

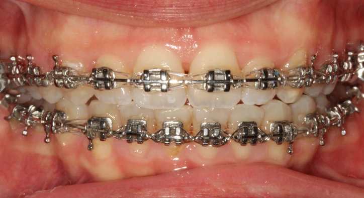
Metal Diş Teli Nedir ve Nasıl Çalışır?
Metal Diş Teli, dişlerin üzerine yerleştirilen braketler ve bu braketleri birbirine bağlayan ark telleri sayesinde dişleri kontrollü kuvvetlerle hareket ettiren ortodontik bir sistemdir. Bu sistemde kullanılan paslanmaz çelik alaşımlar, dayanıklılığı ve biyouyumluluğu ile dikkat çeker.
Ortodontik tedavide amaç yalnızca estetik bir gülüş elde etmek değildir. Aynı zamanda çiğneme fonksiyonunun dengelenmesi, çene kapanış bozukluklarının düzeltilmesi ve uzun vadede ağız sağlığının korunması hedeflenir. Metal Diş Teli tedavisi, diş köklerinin çevresindeki kemik dokunun biyolojik yanıtı sayesinde dişlerin zamanla yeni konumlarına adapte olmasını sağlar.
Bilimsel araştırmalar, sabit ortodontik apareylerin düzenli kontrollerle birlikte uygulandığında yüksek başarı oranına sahip olduğunu göstermektedir. Bu nedenle klasik metal braket sistemi, hâlâ ortodontinin altın standart yöntemlerinden biri olarak kabul edilir.
Metal Diş Teli Çeşitleri Nelerdir?
Her ne kadar temel prensip aynı olsa da Metal Diş Teli sistemleri kendi içinde farklı tasarımlara ayrılır. Bu çeşitlilik, hastanın ihtiyaçlarına ve tedavi planına göre belirlenir.
1. Klasik Metal Braketler
En yaygın kullanılan sistemdir. Elastik ligatürler yardımıyla ark teli brakete sabitlenir. Dayanıklı yapısı sayesinde geniş yaş aralığında tercih edilir.
2. Self Ligating Metal Braketler
Bu sistemde elastik yerine kapaklı mekanizma bulunur. Sürtünmenin azalması sayesinde diş hareketi daha kontrollü olabilir. Randevu aralıkları bazı durumlarda daha uzun planlanabilir.
3. Mini Metal Braketler
Daha küçük boyutlu braketlerdir. Estetik kaygısı olan bireyler için daha az dikkat çekici bir alternatif sunar.
Aşağıdaki tabloda temel farklar özetlenmiştir:
|
Özellik |
Klasik Sistem |
Self Ligating |
Mini Braket |
|
Bağlama Şekli |
Elastik |
Kapaklı |
Elastik |
|
Sürtünme Düzeyi |
Orta |
Düşük |
Orta |
|
Estetik |
Standart |
Standart |
Daha Minimal |
Bu çeşitler arasındaki seçim, ortodontik analiz, çene yapısı ve dişlerin mevcut konumuna göre belirlenir.

Metal Diş Teli Avantajları Nelerdir?
Metal Diş Teli, uzun yıllardır kullanılıyor olmasının getirdiği klinik deneyim avantajına sahiptir. Bu sistemin en önemli artılarından biri dayanıklılığıdır. Çiğneme kuvvetlerine karşı yüksek direnç gösterir.
Bir diğer avantajı ise karmaşık ortodontik vakalarda etkili sonuçlar sunabilmesidir. Şiddetli çapraşıklık, rotasyon ya da kapanış bozukluğu gibi durumlarda güçlü bir kontrol sağlar.
Ek olarak:
- Ekonomik açıdan diğer sabit sistemlere göre daha ulaşılabilir olabilir
- Kırılma ve deformasyon riski düşüktür
- Renkli elastik seçenekleri ile genç hastalarda motivasyonu artırabilir
Ortodontik literatürde metal braketlerin, tedavi sürecinin öngörülebilirliği açısından güçlü bir seçenek olduğu sıkça vurgulanır. Bu durum, Metal Diş Teli sistemini hâlâ popüler kılar.
Metal Diş Teli Tedavi Süreci Nasıl İlerler?
Metal Diş Teli tedavi süreci, detaylı bir ortodontik muayene ile başlar. Fotoğraflar, panoramik röntgen ve gerekirse 3D görüntüleme teknikleri kullanılarak kapsamlı bir analiz yapılır. Bu analiz sonucunda kişiye özel bir tedavi planı hazırlanır.
Braketlerin diş yüzeyine özel yapıştırıcılarla sabitlenmesinin ardından ark telleri yerleştirilir. İlk günlerde hafif bir basınç hissi oluşabilir. Bu durum, dişlerin biyolojik adaptasyon süreciyle ilişkilidir.
Tedavi süresi birçok faktöre bağlıdır:
- Çapraşıklığın derecesi
- Hastanın yaşı
- Çene yapısındaki uyumsuzluk
- Kontrollerin düzenliliği
Genellikle ortodontik tedaviler 12 ile 24 ay arasında değişebilir. Ancak her vaka kendine özgüdür ve kesin süre kişisel değerlendirmeye bağlıdır.
Metal Diş Teli Fiyatları Neye Göre Belirlenir?
Metal Diş Teli fiyatları, tek bir sabit rakamla ifade edilemez. Çünkü ortodontik tedavi kişiye özel planlanır. Fiyat üzerinde etkili olan başlıca faktörler şunlardır:
- Tedavinin süresi
- Kullanılan braket sistemi
- Ek aparey ihtiyacı
- Klinik donanımı ve uzmanlık seviyesi
Avrupa Sağlık Diş bünyesinde uygulanan ortodontik planlamalar, bilimsel analizler ve kişisel ihtiyaçlar doğrultusunda şekillendirilir. Bu nedenle fiyatlandırma, kapsamlı muayene sonrası netleşir.
Ek olarak şehir, klinik deneyimi ve kullanılan teknoloji de maliyeti etkileyebilir. Bu noktada en sağlıklı yaklaşım, detaylı bir ön değerlendirme sürecidir.
Metal Diş Teli ve Estetik Kaygılar
Geçmişte Metal Diş Teli daha görünür bir sistem olarak algılanırken, günümüzde daha küçük ve daha estetik tasarımlar tercih edilmektedir. Özellikle mini braketler ve ince ark telleri sayesinde görünüm daha minimal hale gelmiştir.
Yetişkin bireylerde estetik kaygı ön planda olabilir. Ancak birçok hasta, tedavi süresinin geçici olduğunu ve elde edilen sonucun uzun vadeli olduğunu göz önünde bulundurarak metal sistemi tercih eder.
Ayrıca renkli elastikler, özellikle genç kullanıcılar için eğlenceli bir deneyim sunar. Bu küçük detaylar, ortodontik sürecin psikolojik boyutunu olumlu etkileyebilir.
Metal Diş Teli Kimler İçin Uygundur?
Metal Diş Teli, hem ergenlik dönemindeki bireyler hem de yetişkinler için uygun bir seçenektir. Diş ve çene yapısında çapraşıklık, aralık, kapanış problemi veya hizalama bozukluğu bulunan kişilerde tercih edilebilir.
Ortodontik tedaviler yalnızca estetik değil, fonksiyonel kazanç da sağlar. Çiğneme kuvvetinin dengeli dağılması, diş aşınmalarının azalması ve diş eti sağlığının korunması gibi dolaylı faydalar söz konusu olabilir.
Her bireyin ağız yapısı farklı olduğu için uygunluk değerlendirmesi mutlaka uzman bir ortodontist tarafından yapılmalıdır.
Metal Diş Teli ile Güvenli ve Etkili Ortodontik Yaklaşım
Metal Diş Teli, ortodontik tedavilerde uzun yıllardır güvenle kullanılan, dayanıklı ve etkili bir sistemdir. Çeşitli braket alternatifleri, kişiye özel planlama süreci ve bilimsel temellere dayanan uygulama prensipleri sayesinde hem estetik hem fonksiyonel kazanımlar sağlayabilir.
Avrupa Sağlık Diş olarak ortodonti alanındaki gelişmeleri yakından takip ediyor, her hastamız için detaylı analizlere dayanan bireysel planlamalar yapıyoruz. Doğru bilgilendirme ve şeffaf yaklaşım sayesinde tedavi sürecinin daha bilinçli ve konforlu ilerlemesini hedefliyoruz.
Benzer Yazılar
Bu yazıya benzer içerik bulunamadı.

