Derin Kapanış Nedir ve Nasıl Tedavi Edilir?
Gülüşünüzü ertelemeyin. Uzman hekimlerimizle tedavi seçeneklerini görüşmek için hemen yazın.
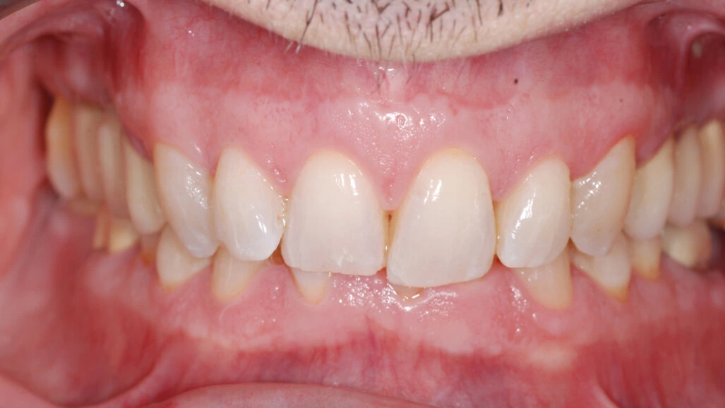
WhatsAppDerin Kapanış, diş hekimliğinde hem estetik hem de fonksiyonel açıdan önemli kabul edilen kapanış problemlerinden biridir. Derin Kapanış, üst ön dişlerin alt dişleri normalden fazla örtmesi durumunu ifade eder ve bu durum çiğneme fonksiyonundan yüz estetiğine kadar birçok alanı etkileyebilir. Klinik açıdan bakıldığında bu durum yalnızca diş dizilimiyle ilgili bir sorun değil, aynı zamanda çene ilişkilerinin de bir yansıması olarak değerlendirilir.
İçindekiler
- Derin Kapanış Nedir ve Klinik Tanımı
- Derin Kapanış Belirtileri ve Gözlemlenen Bulgular
- Derin Kapanış Nedenleri ve Biyomekanik Faktörler
- Derin Kapanış Tanı Süreci ve Analiz Yöntemleri
- Derin Kapanış Tedavi Yaklaşımları
- Derin Kapanış ve Günlük Yaşam Üzerindeki Etkiler
- Derin Kapanış Hakkında Yanlış Bilinenler ve Klinik Gerçekler

Derin Kapanış Nedir ve Klinik Tanımı
Derin Kapanış, üst çene dişlerinin alt çene dişlerini dikey yönde aşırı örtmesiyle karakterize edilen bir oklüzyon problemidir. Bu durum genellikle dişlerin kapanış ilişkilerindeki dengesizlikten kaynaklanır ve zamanla fonksiyonel değişikliklere yol açabilir.
Klinik literatürde Derin Kapanış sadece estetik bir durum olarak değil, aynı zamanda çene eklemi ve kas sistemi ile ilişkili kompleks bir yapı olarak değerlendirilir. Bu nedenle her bireyde farklı şiddet ve formda görülebilir.
Birçok durumda hastalar bu durumu fark etmez, ancak rutin dental kontroller sırasında tespit edilir. Özellikle ön dişlerin kapanışında belirgin bir örtülme varsa, klinik değerlendirme daha detaylı yapılır.
Derin Kapanış Belirtileri ve Gözlemlenen Bulgular
Derin Kapanış durumunda en sık gözlenen bulgu, üst ön dişlerin alt dişleri normalden fazla kapatmasıdır. Bu durum bazen alt dişlerin tamamen görünmez hale gelmesine kadar ilerleyebilir.
Aşağıdaki tablo, klinik gözlemlerde sık karşılaşılan bulguları özetlemektedir:
|
Bulgular |
Açıklama |
|
Dikey örtüşme artışı |
Üst dişlerin alt dişleri aşırı kapatması |
|
Çene yorgunluğu |
Uzun süreli kapanış dengesizliği |
|
Aşınma belirtileri |
Ön dişlerde sürtünmeye bağlı yüzey değişimi |
|
Estetik değişim |
Gülüş hattında orantısız görünüm |
Derin Kapanış bazı bireylerde yalnızca estetik bir farklılık yaratırken, bazı durumlarda çiğneme fonksiyonunda hissedilebilir değişikliklere neden olabilir. Bu nedenle klinik gözlem oldukça önemlidir.
Daha detaylı anatomi ve oklüzyon bilgileri için American Dental Association kaynakları incelenebilir.

Derin Kapanış Nedenleri ve Biyomekanik Faktörler
Derin Kapanış oluşumunda tek bir neden yoktur. Genetik faktörler, çene gelişimi ve dişlerin sürme pozisyonu bu durumun oluşumunda önemli rol oynar.
Bazı bireylerde çene yapısı doğal olarak daha dikey bir kapanışa eğilimli olabilir. Bu durumda Derin Kapanış zamanla daha belirgin hale gelebilir. Ayrıca süt dişlerinden kalıcı dişlere geçiş sürecindeki dengesizlikler de etkili olabilir.
Biyomekanik açıdan bakıldığında çiğneme kuvvetlerinin dağılımı da önemli bir faktördür. Dengesiz kuvvetler, dişlerin kapanış ilişkisini zaman içinde değiştirebilir.
Derin Kapanış Tanı Süreci ve Analiz Yöntemleri
Derin Kapanış tanısı genellikle klinik muayene ve radyografik analizler ile konur. Diş hekimi, çene kapanışını hem statik hem de fonksiyonel olarak değerlendirir.
Tanı sürecinde kullanılan bazı yöntemler şunlardır:
- Klinik ağız içi muayene
- Panoramik röntgen değerlendirmesi
- Çene ilişkisi analizi
- Dijital tarama ve modelleme
Bu süreçte Derin Kapanış derecesi belirlenir ve buna göre bir değerlendirme yapılır. Hafif, orta ve ileri düzey olarak sınıflandırmalar görülebilir.
Tanı sürecinde elde edilen veriler, tedavi planlamasının temelini oluşturur ve her birey için kişiselleştirilmiş bir yaklaşım geliştirilir.
Derin Kapanış Tedavi Yaklaşımları
Derin Kapanış tedavi yaklaşımları, durumun şiddetine ve hastanın yaşına göre değişiklik gösterebilir. Klinik uygulamalarda genellikle ortodontik çözümler ön planda yer alır.
Tedavi seçenekleri arasında şunlar bulunur:
- Ortodontik apareyler ile diş hareketi kontrolü
- Çene ilişkisini düzenleyici plak sistemleri
- Gerekli durumlarda restoratif düzenlemeler
Bazı durumlarda Derin Kapanış yalnızca diş hareketleriyle değil, çene pozisyonunu da etkileyen kombine yaklaşımlarla ele alınır. Bu süreç tamamen bireysel analiz gerektirir.
Ayrıca dijital ortodonti teknolojileri sayesinde tedavi planlaması daha öngörülebilir hale gelmiştir. Bu gelişmeler, Derin Kapanış vakalarında daha hassas sonuçlar elde edilmesini sağlamaktadır.
Derin Kapanış ve Günlük Yaşam Üzerindeki Etkiler
Derin Kapanış yalnızca klinik bir durum değildir, aynı zamanda günlük yaşamda da bazı etkiler yaratabilir. Özellikle çiğneme alışkanlıkları ve konuşma dinamikleri bu durumdan etkilenebilir.
Bazı bireylerde çene kaslarında yorgunluk hissi oluşabilirken, bazı kişilerde ise fark edilir bir semptom görülmeyebilir. Bu değişkenlik Derin Kapanışın bireysel bir durum olduğunu gösterir.
Günlük yaşamda estetik algı da önemli bir faktördür. Gülüş hattındaki değişiklikler kişinin özgüven algısını etkileyebilir ve bu durum sosyal etkileşimlere yansıyabilir.
Derin Kapanış Hakkında Yanlış Bilinenler ve Klinik Gerçekler
Derin Kapanış hakkında toplumda bazı yanlış algılar bulunabilir. Örneğin bu durumun yalnızca estetik bir problem olduğu düşünülür, ancak klinik açıdan daha kapsamlı bir yapıya sahiptir.
Bir diğer yanlış inanış, Derin Kapanışın yalnızca yetişkinlerde görüldüğüdür. Oysa bu durum gelişim dönemlerinde de fark edilebilir ve zamanla değişim gösterebilir.
Klinik gerçekler ise bu durumun çok faktörlü olduğunu ve her bireyde farklı bir seyir izlediğini göstermektedir. Bu nedenle standart bir yaklaşım yerine kişiselleştirilmiş değerlendirme gereklidir.
Derin Kapanış, diş ve çene sisteminin kompleks ilişkisini yansıtan önemli bir oklüzyon durumudur. Klinik açıdan değerlendirildiğinde yalnızca estetik değil, fonksiyonel yönleriyle de ele alınması gerekir. Avrupa Sağlık Diş olarak bu tür durumların anlaşılmasını kolaylaştırmak ve farkındalık oluşturmak temel hedeflerimizden biridir.

