Diş Eti Çekilmesi Nedir? Nedenleri, Belirtileri ve Tedavisi
Gülüşünüzü ertelemeyin. Uzman hekimlerimizle tedavi seçeneklerini görüşmek için hemen yazın.
WhatsAppAynaya baktığınızda dişlerinizin eskiye kıyasla daha uzun göründüğünü fark ettiniz mi? Ya da diş fırçası sürerken diş etinizden hafif kan geldiğini? Bu belirtiler, çoğu zaman görmezden gelinse de diş eti çekilmesinin ilk işaretleri olabilir. Diş eti çekilmesi, Türkiye'de oldukça yaygın görülen ancak farkındalığı hâlâ düşük olan bir ağız sağlığı sorunudur.
Klinik pratiğimizde pek çok hastanın bu durumu yıllarca fark etmeden yaşadığını görüyoruz. Oysa erken teşhis, tedavi başarısını doğrudan etkileyen en önemli faktörlerden biridir. Bu rehberde diş eti çekilmesini her yönüyle ele alacağız: nedenleri, belirtileri, ilerleme hızı, tedavi seçenekleri ve günlük yaşamda alabileceğiniz önlemler.
İçindekiler
- Diş Eti Çekilmesi Nedir?
- Diş Eti Çekilmesi Neden Olur?
- Diş Eti Çekilmesi Belirtileri Nelerdir?
- Diş Eti Çekilmesi Kaç Milimetre Tehlikelidir?
- Diş Eti Çekilmesi Kendiliğinden Geçer mi?
- Diş Eti Çekilmesi Nasıl Teşhis Edilir?
- Diş Eti Çekilmesi Tedavi Yöntemleri
- Diş Eti Çekilmesini Önlemek İçin Ne Yapabilirsiniz?
- Diş Eti Çekilmesi ve Diş Hassasiyeti
- Diş Eti Sağlığında Beslenmenin Rolü
- Sık Sorulan Sorular

Diş Eti Çekilmesi Nedir?
Diş eti çekilmesi, dişlerin çevresindeki yumuşak dokuların (gingiva) geri çekilerek diş kök yüzeyinin görünür hale gelmesi durumudur. Tıp literatüründe "gingival recession" olarak geçen bu durum, hem estetik hem de fonksiyonel açıdan ciddi sonuçlar doğurabilir.
Sağlıklı bir dişte diş eti, dişi adeta bir manşet gibi sarar. Bu yapı sayesinde diş kökü bakteri, asit ve mekanik travmadan korunur. Diş eti çekildiğinde ise kök yüzeyi açığa çıkar ve bu bölge normalde mineyle kaplanmamış olduğundan dış etkenlere karşı çok daha savunmasız hale gelir.
Diş eti çekilmesi yaşın ilerlemesiyle birlikte görülme sıklığı artan bir durumdur. Ancak günümüzde 20-30'lu yaşlardaki bireylerde de görülmeye başlanması, risk faktörlerinin çeşitlendiğine işaret etmektedir. Tek bir dişte sınırlı kalabileceği gibi, birden fazla dişi etkileyen yaygın tablolara da dönüşebilir.
Diş Eti Çekilmesi Neden Olur?
Diş eti çekilmesinin tek bir nedeni yoktur. Çoğu vakada birden fazla etken bir arada rol oynar. Bu etkenler mekanik, biyolojik veya sistemik olabilir ve her bireyde farklı ağırlıkta etkili olur.
Hatalı Fırçalama Alışkanlıkları
Diş eti çekilmesinin en sık görülen nedenlerinden biri, yanlış diş fırçalama tekniğidir. Sert kıllı fırça kullanmak ya da dişleri aşırı basınçla yatay hareketlerle fırçalamak, diş eti dokusunu zamanla aşındırır. Birçok hasta yıllarca bu alışkanlıklarını sürdürdükten sonra kliniğimize başvurur ve diş etinin ne zaman çekildiğini hatırlamaz.
Periodontitis (Diş Eti İltihabı)
Diş eti iltihabı, bakteri plaklarının birikmesiyle başlayan ve zamanla diş eti dokusunu tahrip eden kronik bir enfeksiyondur. Tedavi edilmeyen diş eti hastalıkları, çekilmenin en önemli nedenlerinden biridir. Türk Diş Hekimleri Birliği verilerine göre yetişkin nüfusun önemli bir bölümünde çeşitli derecelerde periodontitis bulgusuna rastlanmaktadır.
Genetik Yatkınlık
Diş eti biyotipi, yani diş etinin kalın ya da ince olması büyük ölçüde genetik faktörlere bağlıdır. İnce biyotipli kişilerde çekilme eğilimi belirgin şekilde daha yüksektir. Bu bireylerde minimal travma ya da iltihap bile diş eti çekilmesini tetikleyebilir.
Bruksizm (Diş Sıkma ve Gıcırdatma)
Uyku sırasında ya da stresli anlarda dişleri sıkmak veya gıcırdatmak, dişlere ve çevre dokulara aşırı mekanik yük bindirir. Bu kuvvetler zamanla diş eti ve kemik dokusunu olumsuz etkiler, çekilme riskini artırır.
Ortodontik Tedaviler
Diş hareketlendirme süreçleri, özellikle dişler kemiğin dışına doğru hareket ettirildiğinde diş eti çekilmesine zemin hazırlayabilir. Bu nedenle ortodontik tedavi planlamasında diş eti biyotipi değerlendirmesi son derece önemlidir.
Hormonal Değişiklikler
Hamilelik, ergenlik ve menopoz dönemlerinde diş eti dokusu hormonal etkilerle daha hassas hale gelir. Bu dönemlerde diş eti iltihabı daha kolay gelişir ve varolan çekilme süreci hızlanabilir.
Sigara ve Tütün Kullanımı
Sigara, diş etine giden kan akışını azaltarak dokunun onarım kapasitesini düşürür. Dünya Sağlık Örgütü (WHO) verilerine göre sigara içenlerde diş eti hastalığı ve buna bağlı çekilme riski sigara içmeyenlere kıyasla çok daha yüksektir.
Diş Taşı Birikimi
Düzenli temizlenmediğinde diş taşına dönüşen sert birikintiler, diş eti kenarına mekanik baskı uygular ve bakteri ortamı oluşturur. Bu durum diş eti çekilmesini hem doğrudan hem de dolaylı yoldan tetikler.
Özet Tablo: Diş Eti Çekilmesi Nedenleri
| Neden | Açıklama |
|---|---|
| Yanlış fırçalama | Sert fırça, aşırı basınç, yatay hareket |
| Periodontitis | Bakteri plaklarının neden olduğu kronik iltihap |
| Genetik yatkınlık | İnce diş eti biyotipi |
| Bruksizm | Diş sıkma ve gıcırdatma |
| Hormonal faktörler | Hamilelik, menopoz, ergenlik |
| Sigara | Kan dolaşımını ve doku iyileşmesini bozar |
| Diş taşı | Mekanik baskı ve bakteri ortamı |
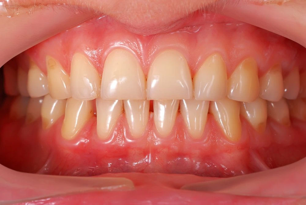
Diş Eti Çekilmesi Belirtileri Nelerdir?
Diş eti çekilmesi çoğunlukla sinsi ilerler. Erken dönemde belirti vermediği için birçok hasta, sorun ilerlemiş boyuta ulaştığında farkında olur. Ancak dikkat edildiğinde bazı erken işaretleri yakalamak mümkündür.
Sık Görülen Belirtiler
- Dişlerin uzamış görünmesi: Diş boyu aynada görünür şekilde artar, hasta dişlerinin "uzadığını" tarif eder.
- Diş kökü yüzeyinin görünmesi: Diş eti hattı boyunca renk farklılığı oluşur; köke yakın bölge daha sarımsı bir ton alır.
- Sıcak-soğuk hassasiyeti: Açığa çıkan kök yüzeyi sıcak ve soğuğa karşı aşırı duyarlı hale gelir. Diş hassasiyeti genellikle bu tablonun önemli bir parçasıdır.
- Diş etinde kanama: Özellikle fırçalama ya da yemek yerken diş etinden kan gelebilir.
- Diş eti hattında düzensizlik: Bazı dişlerin etrafındaki diş eti seviyesi diğerlerinden belirgin şekilde aşağıdadır.
- Çürük benzeri hassasiyet: Diş boynunda tatlı veya ekşi gıdalara karşı hassasiyet hissedilebilir.
- Dişler arası boşluk artışı: İlerleyen vakalarda dişler arası mesafe büyüyebilir.
"Hastalarımızın büyük bölümü, diş eti çekilmesini yalnızca estetik bir sorun olarak tanımlar. Oysa açığa çıkan kök yüzeyi, çürük ve enfeksiyon için ciddi bir risk bölgesi oluşturur." - Avrupa Sağlık Diş Kliniği Periodontoloji Birimi
Diş Eti Çekilmesi Kaç Milimetre Tehlikelidir?
Bu soru kliniğimize en sık gelen sorulardan biridir. Diş eti çekilmesini milimetrik olarak değerlendirmek için Miller sınıflandırması kullanılır. Buna göre:
- 1-2 mm çekilme: Hafif. Genellikle konservatif yaklaşımla kontrol altına alınabilir.
- 2-4 mm çekilme: Orta. Tedavi gerektirir, erken müdahale önemlidir.
- 4 mm ve üzeri: İleri. Cerrahi tedaviler gündemdedir; kemik kaybı değerlendirmesi gerekir.
Ancak milimetre değeri tek başına yeterli değildir. Çekilmenin kaç dişi etkilediği, altta yatan nedenin aktif olup olmadığı ve komşu dişlere olan etkisi de belirleyicidir. Kliniğimizde bu değerlendirme dijital ölçüm araçları ve periyodik fotoğraflama ile belgelenir.
Diş Eti Çekilmesi Kendiliğinden Geçer mi?
Hayır. Diş eti çekilmesi kendiliğinden geri dönmez. Bilimsel literatür, mevcut çekilmenin herhangi bir müdahale olmaksızın düzelmediğini açıkça ortaya koymaktadır. Yapılabilecek en iyi şey, çekilmenin ilerlemesini durdurmak ve mevcut durumu koruma altına almaktır.
Bazı hastalar doğal yöntemlerle veya özel macunlarla durumu düzeltebileceklerini düşünür. Hassasiyeti azaltan macunlar bu konuda faydalı olabilir, ancak çekilmiş dokuyu geri kazandırma konusunda yetersizdirler. Doğal tedavi yöntemleri destekleyici nitelikte değerlendirilebilir; ancak kesinlikle profesyonel tedavinin yerine geçemez.
Diş eti çekilmesinin aşamaları hakkında hazırladığımız rehber, hangi evrede olduğunuzu anlamanıza yardımcı olacaktır.
Diş Eti Çekilmesi Nasıl Teşhis Edilir?
Diş eti çekilmesinin teşhisi, kapsamlı bir periodontal muayeneden geçer. Bu muayenede diş eti cep derinlikleri periodontal sond adı verilen özel bir ölçüm aletiyle ölçülür. Her dişin birden fazla noktasından alınan ölçümler, çekilmenin boyutu ve dağılımı hakkında ayrıntılı bilgi verir.
Tanıya yardımcı diğer yöntemler:
- Dijital röntgenler: Diş kökü etrafındaki kemik dokusunun değerlendirilmesi için kullanılır.
- Fotoğraflama: Mevcut durumun belgelenmesi ve ilerleyişin takibi için.
- CBCT (konik ışınlı bilgisayarlı tomografi): İleri vakalarda 3 boyutlu kemik analizi yapılabilir.
Miller Sınıflandırması
Periodontolojide yaygın kullanılan Miller sınıflandırması, diş eti çekilmesini 4 sınıfa ayırır:
| Sınıf | Tanım | Tedavi Başarısı |
|---|---|---|
| Sınıf I | Muko-gingival sınır aşılmamış, kemik ve doku kaybı yok | %100 kök örtme mümkün |
| Sınıf II | Muko-gingival sınır aşılmış, kemik ve doku kaybı yok | %100 kök örtme mümkün |
| Sınıf III | Dişlerarası bölgede doku kaybı var | Kısmi kök örtme beklenir |
| Sınıf IV | Belirgin dişlerarası kemik ve doku kaybı | Kısmi örtme, ağırlıklı stabilizasyon |
Diş Eti Çekilmesi Tedavi Yöntemleri

Tedavi planlaması, çekilmenin derecesine, nedenine ve hastanın genel ağız sağlığı durumuna göre şekillenir. Tek bir tedavi yöntemi her vakaya uymaz.
Cerrahi Olmayan Tedaviler
Hafif ve orta dereceli diş eti çekilmelerinde öncelikle cerrahi olmayan yöntemler uygulanır:
- Ölçek ve kök yüzeyi düzleştirme: Diş kökü ve eti arasındaki plak ve taş birikintileri temizlenir, kök yüzeyi pürüzsüzleştirilerek bakteri tutunması güçleştirilir.
- Desensitizasyon tedavisi: Açığa çıkan kök yüzeyine uygulanan özel maddeler ile hassasiyet azaltılır.
- Fırçalama tekniği eğitimi: Yanlış alışkanlıkların düzeltilmesi, ilerleyişi durdurmak için kritik öneme sahiptir.
- Oklüzal düzeltmeler: Diş sıkma kaynaklı aşırı kuvvetlerin önlenmesi için gece plağı veya oklüzal denge uygulamaları.
Cerrahi Tedaviler
Orta ve ileri dereceli vakalarda, ya da konservatif tedavinin yetersiz kaldığı durumlarda cerrahi müdahale gündeme gelir:
- Flep ameliyatı: Derin cep temizliği için diş eti kaldırılır, kök yüzeyi ve kemik temizlendikten sonra dikiş atılır.
- Kemik rejenerasyonu: Kaybedilen kemik dokusunun yeniden kazanılması için biyolojik membranlar ve kemik grefti materyalleri kullanılabilir.
- Pembe estetik uygulamalar: Diş eti estetiği prosedürleri, hem fonksiyonel hem de görsel açıdan tatmin edici sonuçlar sunar.
Diş Eti Grefti
Diş eti grefti, diş eti çekilmesinin cerrahi tedavisinde altın standart olarak kabul edilir. Bu işlemde genellikle damağın arka bölgesinden alınan ince bir doku dilimi, çekilmenin olduğu bölgeye nakledilir. Günümüzde bağ doku grefti ve serbest gingival greft gibi farklı teknikler mevcuttur.
Greft operasyonunun başarısını etkileyen faktörler:
- Çekilmenin Miller sınıfı
- Etkilenen diş sayısı
- Hastanın sigara kullanım durumu
- Genel sağlık durumu ve ilaç kullanımı
- Kalan diş eti dokusunun kalitesi
Greft sonrası iyileşme süreci birkaç haftayı kapsar. Bu dönemde yumuşak diyet uygulanmalı ve cerrahın önerdiği ağız bakım protokolüne titizlikle uyulmalıdır.
Diş Eti Çekilmesini Önlemek İçin Ne Yapabilirsiniz?
Diş eti çekilmesinin önlenmesinde en etkili strateji, risk faktörlerini kontrol altına almaktır. Günlük yaşamda uygulanabilecek önlemler hem basit hem de son derece etkilidir.
- Yumuşak kıllı diş fırçası kullanın: Sert kıllı fırçalardan kesinlikle uzak durun. Elektrikli fırçalar da doğru kullanıldığında ideal tercihler arasındadır.
- Bass tekniğini uygulayın: Fırçayı 45 derece açıyla diş eti hattına yerleştirin ve hafif titreşim hareketleriyle fırçalayın.
- Diş ipi ve arayüz fırçası kullanın: Dişler arası plak temizliği, yalnızca diş fırçasıyla sağlanamaz.
- 6 ayda bir diş taşı temizliği yaptırın: Düzenli kontrol, erken dönemdeki çekilmeyi tespit etmek için de kritiktir.
- Sigarayı bırakın: Sigara bırakıldıktan sonra diş eti dokusunun iyileşme kapasitesi belirgin şekilde artar.
- Bruksizme müdahale edin: Diş sıkma sorununuz varsa gece plağı kullanımı hem dişleri hem de diş etini korur.
Diş eti sağlığını korumanın tüm yolları hakkında hazırladığımız kapsamlı rehber, bu konuda ek bilgi edinmenizi sağlayacaktır.
Diş Eti Çekilmesi ve Diş Hassasiyeti
Diş eti çekilmesiyle birlikte ortaya çıkan en rahatsız edici belirtilerin başında diş hassasiyeti gelir. Açığa çıkan dentin tübülleri, ağız ortamıyla doğrudan temas halinde olduğundan sıcak, soğuk, tatlı ve ekşi uyaranlara aşırı duyarlı hale gelir.
Hassasiyetle başa çıkmak için:
- Hassas dişler için özel formüllü diş macunları (florür bazlı veya potasyum nitrat içerikli) kullanılabilir.
- Asitli içeceklerden (kola, meyve suyu, sirke) kaçınılmalıdır.
- Çok soğuk ya da çok sıcak yiyecek-içecekler belirtileri artırmaktadır.
- Profesyonel desensitizasyon uygulamaları, kliniklerde etkili şekilde yapılabilmektedir.
Hassasiyetin altında yatan asıl neden tedavi edilmediği sürece bu belirtiler kalıcı olmayacaktır. Diş eti kanaması da hassasiyetle birlikte görülen ve ihmal edilmemesi gereken bir belirti olabilir.
Diş Eti Sağlığında Beslenmenin Rolü
Beslenme, diş eti sağlığını dolaylı ama güçlü biçimde etkiler. C vitamini eksikliği özellikle diş eti dokusunun sağlığı üzerinde kritik rol oynar. Kollajen sentezi için gerekli olan C vitamini yetersizliğinde diş etleri daha kırılgan hale gelir ve çekilmeye yatkınlık artar.
Diş eti sağlığını destekleyen besinler:
- C vitamini kaynakları: Portakal, limon, kivi, biber, brokoli
- D vitamini kaynakları: Yağlı balık, yumurta, güneş ışığı
- Antioksidanlar: Yeşil çay, koyu yeşil yapraklı sebzeler
- Probiyotikler: Yoğurt ve fermente ürünler, ağız florası dengesine katkı sağlar
Öte yandan şekerli gıdalar, asitli içecekler ve işlenmiş karbonhidratlar bakteri üremesini hızlandırarak diş eti sorunlarını tetikler. PubMed'de yayımlanan araştırmalar, şeker tüketimi ile periodontal hastalık arasındaki ilişkiyi güçlü kanıtlarla ortaya koymaktadır.
Sık Sorulan Sorular
Diş eti çekilmesi geri döner mi?
Doğal süreçte diş eti çekilmesi geri dönmez. Ancak cerrahi yöntemler (diş eti grefti, flep operasyonları) ile çekilmiş olan bölge kısmen ya da tamamen örtülebilir. Bu nedenle erken teşhis büyük önem taşır.
Diş eti çekilmesi ağrılı mı?
Çekilme süreci genellikle ağrısızdır. Ancak açığa çıkan kök yüzeyi nedeniyle diş hassasiyeti yaşanabilir. İleri vakalarda, iltihabi süreç eşlik ediyorsa ağrı da gündeme gelebilir.
Diş eti çekilmesi kaç yaşında başlar?
Diş eti çekilmesi herhangi bir yaşta başlayabilir. Ancak prevalansı yaşla birlikte artar. 40 yaş üstünde daha sık görülmekle birlikte, günümüzde 20'li yaşlarda da diş eti çekilmesi vakalarına rastlanmaktadır.
Diş eti çekilmesi ameliyat gerektirir mi?
Her diş eti çekilmesi ameliyat gerektirmez. Hafif vakalar konservatif yöntemlerle kontrol altına alınabilir. Orta ve ileri vakalarda ise cerrahi müdahale gerekebilir. Bu değerlendirme muayene sonucunda, hastanın durumuna özgü olarak yapılır.
Diş eti çekilmesini evde iyileştirmek mümkün müdür?
Evdeki uygulamalar (doğru fırçalama, diş ipi kullanımı, hassasiyet macunları) ilerleyişi yavaşlatabilir ve belirtileri azaltabilir. Ancak mevcut çekilmeyi geri döndürmek mümkün değildir. Diş hekimi kontrolü kesinlikle ihmal edilmemelidir.
Diş eti çekilmesi ile implant arasında ilişki var mı?
Evet. İmplant yapılan bölgede de diş eti çekilmesi görülebilir. Yetersiz diş eti dokusu, implant cerrahisi öncesinde değerlendirilerek gerekirse greft uygulamasıyla güçlendirilmelidir. Kliniğimizde implant öncesi planlama bu değerlendirmeyi kapsamlı biçimde içermektedir.
Hangi diş macunu diş eti çekilmesini önler?
Hiçbir diş macunu tek başına diş eti çekilmesini önleyemez. Ancak florür içerikli macunlar diş çürümesine karşı ek koruma sağlar. Potasyum nitrat veya strontium klorür içerikli hassasiyet macunları ise açığa çıkan kök yüzeyinde rahatlama hissi verir. Esas korunma, doğru fırçalama tekniği ve düzenli kontrolden geçer.
Diş eti çekilmesine dair belirtiler yaşıyorsanız ya da en son ne zaman periodontal muayene olduğunuzu hatırlamıyorsanız, beklemeyin. Avrupa Sağlık Diş kliniğimizde uzman ekibimiz size özel bir değerlendirme ve tedavi planı oluşturmaya hazır.

