Zahnverfärbung: Ursachen, Arten und Behandlungsmöglichkeiten
Gülüşünüzü ertelemeyin. Uzman hekimlerimizle tedavi seçeneklerini görüşmek için hemen yazın.
WhatsAppGelbe oder dunklere Zähne sind für viele Menschen ein Thema, das sie beschäftigt, aber selten offen ansprechen. Dabei ist Zahnverfärbung keine Seltenheit: Sie betrifft Menschen aller Altersgruppen, entsteht aus unterschiedlichsten Gründen und lässt sich mit den richtigen Methoden gezielt angehen. Ob durch Kaffee, Tabak, Medikamente, natürliche Alterungsprozesse oder Veränderungen im Zahninneren, die Ursachen sind vielfältig. Und wer die Ursache kennt, findet auch den richtigen Weg zur Behandlung.
Dieser Beitrag gibt Ihnen einen fundierten Überblick: Was genau passiert, wenn Zähne sich verfärben? Welche Arten gibt es? Und welche Behandlungsmöglichkeiten stehen heutzutage zur Verfügung, auch für Patienten, die eine hochwertige Zahnbehandlung in der Türkei in Betracht ziehen?
Inhaltsverzeichnis
- Was ist Zahnverfärbung? Die Grundlagen einfach erklärt
- Extrinsische Zahnverfärbungen: Farbe von außen
- Intrinsische Zahnverfärbungen: Veränderungen im Zahninneren
- Häufige Ursachen von Zahnverfärbungen im Alltag
- Medikamente, Fluorose und Trauma: Seltene, aber wichtige Ursachen
- Ein einzelner dunkler Zahn: Was dahinterstecken kann
- Wie Zahnfarbe in der Praxis beurteilt wird
- Behandlungsmöglichkeiten bei Zahnverfärbung
- Zahnverfärbung behandeln in der Türkei: Ein Vergleich für deutsche Patienten
- Pflege und Prävention: So bleibt Ihre Zahnfarbe länger stabil
- Missverständnisse rund um Zahnverfärbung
- Häufig gestellte Fragen (FAQ)

Was ist Zahnverfärbung? Die Grundlagen einfach erklärt
Zahnfarbe entsteht nicht zufällig. Sie ist das Ergebnis eines Zusammenspiels mehrerer Zahnschichten: Der äußere Zahnschmelz ist teiltransparent, das darunterliegende Dentin ist von Natur aus gelblich bis bernsteinfarben. Wenn Licht auf den Zahn trifft, entstehen Farbreflexe aus beiden Schichten. Das ist der Grund, warum "weiße" Zähne in der Natur eigentlich fast nie rein weiss sind, sondern Wärme, Transluzenz und leichte Gelbwerte besitzen.
Zahnverfärbung beschreibt jeden Prozess, bei dem diese Farboptik sich negativ verändert. Die Farbe kann sich auf der Oberfläche ablagern, in den Schmelz eindringen oder tiefer im Dentin entstehen. Dieser Unterschied ist entscheidend, weil er bestimmt, welche Behandlung sinnvoll ist. Eine Verfärbung auf der Oberfläche reagiert ganz anders auf Behandlungen als eine, die tief im Zahn verankert ist.
Die Bundeszahnärztekammer betont in ihren Aufklärungsmaterialien, dass viele Patienten Zahnverfärbungen zunächst mit mangelnder Hygiene gleichsetzen. Das stimmt jedoch oft nicht. Intrinsische Verfärbungen, also solche, die im Inneren des Zahns entstehen, können trotz ausgezeichneter Mundhygiene bestehen bleiben und erfordern andere Strategien als einfache Reinigungsmaßnahmen.
Extrinsische Zahnverfärbungen: Farbe von außen
Bei extrinsischen, also äußerlichen Verfärbungen lagern sich Farbstoffe an der Zahnoberflache oder in der oberflächlichen Schicht des Zahnschmelzes ab. Dies ist die häufigste Form und auch diejenige, die am direktesten mit Lebensgewohnheiten zusammenhängt.
Kaffee, schwarzer Tee, Rotwein, Beeren und stark gewürzte Speisen wie Curry oder Tomatensoße enthalten Pigmentverbindungen, sogenannte Chromogene, die sich im Laufe der Zeit in der Schmelzstruktur festsetzen können. Tabakprodukte, einschließlich Zigaretten und Wasserpfeifen, hinterlassen Teer- und Nikotinrückstände, die besonders hartnäckige braune oder gelbliche Beläge erzeugen.
Interessanterweise reagieren Zähne sehr individuell auf diese Einflüsse. Zwei Menschen mit ähnlichen Ernährungsgewohnheiten können sehr unterschiedliche Verfärbungen entwickeln. Der Grund liegt in der Mikrostruktur des Zahnschmelzes: Eine etwas rauere Oberflächentextur, zum Beispiel durch frühere Erosionen oder natürliche Variation, nimmt Farbstoffe leichter auf. Auch die Zusammensetzung des Speichels spielt eine Rolle, da er als natürlicher Schutzfilm fungiert.
Zu den extrinsischen Ursachen zählt auch Plaque, die sich bei unzureichender Mundhygiene in Zahnstein verwandelt. Zahnstein ist von Natur aus gelblich bis bräunlich und kann den Eindruck stark verfärbter Zähne erzeugen, selbst wenn der eigentliche Schmelz darunter recht hell ist. Regelmäßige professionelle Zahnreinigungen können diese Form der Verfärbung deutlich reduzieren.
Intrinsische Zahnverfärbungen: Veränderungen im Zahninneren
Intrinsische Verfärbungen entstehen innerhalb der Zahnhartsubstanz, also im Dentin oder in der Pulpa. Sie sind oft schwieriger zu behandeln und erfordern gezieltere Maßnahmen als oberflächliche Verfärbungen.
Eine häufige Ursache ist der natürliche Alterungsprozess. Mit den Jahren wird der Zahnschmelz dünner und transparenter, während das Dentin dicker wird. Das Ergebnis: Zähne wirken gelblicher oder dunkler, weil das gelblich-braune Dentin stärker durch den dünner gewordenen Schmelz hindurchscheint. Kein Hygieneproblem, sondern ein optisches Phänomen.
Weitere Ursachen intrinsischer Verfärbungen sind bestimmte Medikamente, die während der Zahnentwicklung eingenommen wurden, wie Tetracyclin-Antibiotika (besonders in der Kindheit), Fluorose durch übermäßige Fluoridaufnahme in der Wachstumsphase, sowie Trauma und Wurzelkanalbehandlungen, auf die wir weiter unten gesondert eingehen.
Häufige Ursachen von Zahnverfärbungen im Alltag
Im Praxisalltag begegnen uns bestimmte Ursachenmuster besonders häufig. Das folgende Bild zeigt, wie verschiedene Alltagsfaktoren gemeinsam zu Verfärbungen beitragen können:

Kaffee und Tee sind wohl die meistgenannten Übeltäter. Beide enthalten Tannine, eine Art polyphenolischer Verbindungen, die sich an die Schmelzoberfläche binden und bei häufigem Konsum deutliche Ablagerungen hinterlassen können. Interessant: Grüner Tee ist in dieser Hinsicht nicht unbedingt harmloser als schwarzer Tee, auch wenn er oft als gesunde Alternative gilt.
Tabak in all seinen Formen, also Zigaretten, Zigarren, Pfeife, Snus oder Wasserpfeife, hinterlässt hartnäckige Rückstände, die tief in den Schmelz eindringen können. Diese Verfärbungen sind oft schwerer zu entfernen als Kaffee-Verfärbungen und sprechen weniger gut auf einfaches Bleaching an.
Unzureichende Mundhygiene führt zu Plaque-Ansammlungen, die sich bei längerem Bestehen in Zahnstein umwandeln. Dieser gibt dem Zahn eine gelblich-braune Note, die ohne professionelle Entfernung nicht beseitigt werden kann.
Bestimmte Mundspülungen, insbesondere solche mit Chlorhexidin, die bei Parodontitis oder nach operativen Eingriffen verwendet werden, können bei langfristiger Anwendung bräunliche Verfärbungen auf den Zähnen hinterlassen. Das ist ein bekannter Nebeneffekt, über den Patienten vorab informiert werden sollten.
| Ursache | Art der Verfärbung | Typisches Erscheinungsbild |
| Kaffee, Tee, Rotwein | Extrinsisch | Gelblich-braune Beläge, besonders an Schmelzoberfläche |
| Tabak | Extrinsisch | Braun bis schwärzlich, hartnäckig |
| Zahnstein | Extrinsisch | Gelblich, meist sichtbar am Zahnhals |
| Natürliches Altern | Intrinsisch | Allgemeine Gelbverfärbung, gleichmäßig |
| Chlorhexidin-Mundspülung | Extrinsisch/kombiniert | Bräunliche Flecken nach Langzeitanwendung |
| Trauma/Wurzelkanalbehandlung | Intrinsisch | Ein einzelner grauer oder dunkler Zahn |
Medikamente, Fluorose und Trauma: Seltene, aber wichtige Ursachen
Neben den bekannten Alltagsursachen gibt es spezifischere Faktoren, die in der Praxis seltener, aber regelmäßig vorkommen.
Tetracyclin-Antibiotika, die in den 1950er bis 1980er Jahren häufig eingesetzt wurden, können bei Einnahme während der Zahnentwicklung (etwa bis zum 8. Lebensjahr) zu charakteristischen blau-grauen oder gelblich-braunen Bändern im Dentin führen. Diese Verfärbungen sind intrinsisch und lassen sich durch normales Bleaching kaum aufhellen. Betroffene Patienten benötigen oft eine weitergehende ästhetische Versorgung.
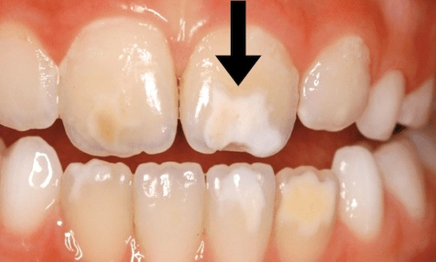
Fluorose entsteht durch übermäßige Fluoridaufnahme in der Zahnentwicklungsphase. Sie zeigt sich als weiße, undurchsichtige Flecken oder Streifen, in schweren Fällen als braune Verfärbungen und poröse Schmelzoberflächen. Der Unterschied zur normalen Zahnverfärbung: Die Flecken sind nicht durch Farbstoffe von außen entstanden, sondern durch eine Strukturveränderung des Schmelzes während des Wachstums.
Eisenpräparate, die bei Eisenmangel-Anämie eingenommen werden, können, besonders in flüssiger Form und über längere Zeiträume, schwarze Verfärbungen auf den Zähnen hinterlassen. Diese sind meist extrinsisch und können professionell entfernt werden, solange das Mittel abgesetzt oder in eine andere Darreichungsform gewechselt wird.
Ein einzelner dunkler Zahn: Was dahinterstecken kann
Wenn Patienten zu uns kommen und sagen "Ich habe nur einen einzigen Zahn, der dunkler ist als die anderen", ist das immer eine aufmerksamkeitsfordernde Situation. Ein einzelner verfärbter Zahn fällt oft stärker auf als eine allgemeine Gelbverfärbung aller Zähne, weil der Kontrast zu den Nachbarzähnen direkt sichtbar ist.
Häufig steckt ein Trauma dahinter. Ein Stoß auf einen Zahn, sei es durch einen Sturz, einen Unfall oder einen Aufprall im Sport, kann die Blutgefäße im Zahninneren schädigen. Wenn Blutabbauprodukte, sogenannte Hämosiderin-Ablagerungen, in die Dentinkanälchen eindringen, verfärbt sich der Zahn im Laufe von Wochen bis Monaten grau oder grau-braun. Das passiert nicht immer sofort, manchmal erst Monate nach dem Ereignis.
Auch Zähne nach einer Wurzelkanalbehandlung können sich verfärben, besonders wenn ältere endodontische Materialien verwendet wurden oder wenn organische Reste im Kanal verblieben sind. In diesen Fällen kann ein spezielles Devitales Bleaching von innen heraus die Zahnfarbe deutlich verbessern, ohne den Zahn zu opfern.
Wichtig: Ein einzelner dunkler Zahn ist kein Grund zur Panik, aber ein guter Grund für eine zahnärztliche Einschätzung. Manchmal ist er nur optisch auffällig, manchmal kann er auf einen abgestorbenen Nerv hinweisen, der ohne Behandlung Probleme verursachen kann.
Wie Zahnfarbe in der Praxis beurteilt wird
Zahnfarbe zu beurteilen ist anspruchsvoller, als es klingt. Das Licht im Badezimmer verfälscht die Wahrnehmung erheblich. Warmes Licht lässt Zähne gelblicher erscheinen, bläuliches LED-Licht kann sie heller wirken lassen, als sie wirklich sind. Auch Smartphone-Kameras mit automatischem Weißabgleich können täuschen.
In der Zahnarztpraxis werden zur Farbbestimmung standardisierte Shade Guides verwendet, also Farbmusterkarten mit definierten Zahnfarbwerten. Die Beurteilung erfolgt unter Tageslicht oder einer definierten Lichtquelle, im Vergleich mit Nachbarzähnen und unter Berücksichtigung des Untertons (warm oder kalt), der Helligkeit und der Transparenz.
Für Patienten, die eine umfangreiche ästhetische Behandlung planen, wird häufig auch eine Fotodokumentation mit Farbprofil erstellt. Das ermöglicht eine objektive Verlaufskontrolle und hilft bei der Kommunikation zwischen Patient und Zahnarzt, welches Ergebnis realistisch angestrebt werden kann. Eine Vorher-Nachher-Dokumentation, wie Sie sie in unserer Galerie einsehen können, gibt einen realistischen Eindruck von erzielbaren Ergebnissen.
Behandlungsmöglichkeiten bei Zahnverfärbung
Es gibt nicht "die eine" Behandlung für Zahnverfärbung. Der richtige Ansatz hängt davon ab, welche Art von Verfärbung vorliegt, wie stark sie ausgeprägt ist, was der Patient sich erhofft und welchen Zustand der Zahn und der Zahnschmelz haben. Hier ein strukturierter Überblick:
Professionelle Zahnreinigung (PZR)
Oft der sinnvolle erste Schritt. Plaque, Zahnstein und oberflächliche Pigmentablagerungen werden professionell entfernt. Viele Patienten staunen, wie deutlich heller ihre Zähne nach einer PZR wirken, weil sie endlich wieder ihre eigentliche Grundfarbe zeigen. Bei rein extrinsischen Verfärbungen kann eine PZR bereits erheblich helfen.
Professionelles Bleaching (Zahnaufhellung)
Das professionelle Bleaching ist die am häufigsten gewählte Methode bei allgemeinen Zahnverfärbungen. Es unterscheidet sich grundlegend von Supermarkt-Aufhellungsstreifen oder -zahnpasten. Professionelle Produkte enthalten Wasserstoffperoxid in kontrollierter Konzentration, das in die Schmelzstruktur eindringt und Farbmoleküle aufbricht. Das Ergebnis: hellere Zähne in einer oder mehreren Sitzungen. Wichtig zu wissen: Bleaching wirkt hauptsächlich auf extrinsische und mäßig intrinsische Verfärbungen. Bei sehr starken inneren Verfärbungen, wie Tetracyclin-Verfärbungen, sind die Ergebnisse begrenzt.
Devitales (internes) Bleaching
Bei einem einzelnen abgestorbenen Zahn, der sich verfärbt hat, kann ein internes Bleaching von innen heraus angewendet werden. Dabei wird ein Aufhellungsmittel direkt in den Zahnhohlraum eingebracht. Diese Methode ist substanzschonender als das Überkronen des Zahns und erzielt bei geeigneten Fällen gute Ergebnisse.
Zahnverklebung (Komposit-Bonding)
Bei der Zahnverklebung wird ein zahnarztliches Kompositharz in der gewünschten Farbe direkt auf den Zahn aufgetragen und geformt. Diese Methode ist besonders für kleinere Korrekturen geeignet, etwa bei einzelnen Verfärbungen, kleineren Defekten oder Lücken. Der Vorteil: kaum Zahnsubstanzabtrag, kein Labor, oft in einer Sitzung abgeschlossen.
Laminat Veneers
Wenn Bleaching nicht ausreicht oder wenn zusätzlich zur Farbe auch Form oder Position korrigiert werden sollen, bieten Laminat Veneers eine bewährte Lösung. Dabei werden hauchdünne Keramikschalen auf die Vorderfläche der Zähne geklebt. Veneers decken Verfärbungen vollständig ab, halten sehr lange und geben dem Lächeln eine gleichmäßige, natürlich wirkende Farbe. Eine minimale Präparation der Zahnoberfläche ist in den meisten Fällen notwendig.
Zirkoniumkronen oder Porzellankronen
Bei stark geschädigten oder strukturell beeinträchtigten Zähnen kommen Zirkoniumkronen oder andere vollkeramische Restaurationen in Betracht. Dabei wird der Zahn beschliffen und vollständig mit einer Krone überkront. Diese Methode bietet maximale Farbkontrolle und ist sehr langlebig, erfordert aber den größten Eingriff in die Zahnsubstanz.
Zahnverfärbung behandeln in der Türkei: Ein Vergleich für deutsche Patienten
In den letzten Jahren entscheiden sich immer mehr Patienten aus Deutschland, Österreich und der Schweiz, ihre Zahnbehandlung in der Türkei durchführen zu lassen. Gerade bei ästhetischen Behandlungen wie Bleaching, Veneers oder Lächeln Design ist der Preisunterschied erheblich.
In Deutschland kostet ein professionelles In-Office-Bleaching in der Regel zwischen 400 und 800 Euro, abhängig von Praxis und Verfahren. In der Türkei, und speziell in İstanbul, sind vergleichbare Behandlungen deutlich günstiger, ohne dass bei Qualität und Material gespart wird. Patienten, die zu uns nach İstanbul kommen, nutzen den Aufenthalt oft, um mehrere Behandlungen zu kombinieren, etwa eine professionelle Zahnreinigung, ein Bleaching und eine Kontrolluntersuchung.
Viele unserer Patienten aus Deutschland berichten, dass sie zunächst zögerlich waren. Die Entscheidung, für eine Zahnbehandlung ins Ausland zu reisen, fühlt sich zunächst ungewohnt an. Doch wenn sie erst einmal hier sind und die modernen Behandlungsräume, das deutschsprachige Beratungsteam und die kurzen Wartezeiten erleben, wächst das Vertrauen schnell. Unsere Patientenbewertungen spiegeln diese Erfahrungen wider.
Für Patienten aus Deutschland, die über eine umfangreichere Behandlung nachdenken, lohnt es sich, die Kosten für Flug und Unterkunft gegen die Einsparungen bei der Behandlung aufzurechnen. Bei Veneers oder einer Vollversorgung können die Ersparnisse sehr erheblich sein. Gerne beraten wir Sie individuell: Kontakt aufnehmen.
Pflege und Prävention: So bleibt Ihre Zahnfarbe länger stabil
Nach einer Aufhellung oder ästhetischen Behandlung stellt sich häufig die Frage: Wie lange hält das Ergebnis? Die ehrliche Antwort lautet: Das hängt stark von Gewohnheiten und Pflege ab.
Zähne sind keine statische Oberfläche. Essen, Trinken, Speichel, Hygiene und Alterungsprozesse wirken täglich auf sie ein. Wer nach einem Bleaching weiterhin täglich drei Tassen starken Kaffee trinkt und raucht, wird früher neue Verfärbungen bemerken als jemand, der bewusster mit seiner Ernährung umgeht. Das ist keine Verurteilung von Lebensgewohnheiten, sondern eine realistische Einschätzung.
Einige praktische Maßnahmen, die helfen, das Ergebnis länger zu erhalten:
- Stark färbende Getränke wie Kaffee, Tee oder Rotwein nicht direkt nach einer Aufhellungsbehandlung konsumieren (mindestens 48 Stunden warten)
- Mit einem Strohhalm trinken kann bei stark färbenden Getränken den Kontakt mit den Zähnen reduzieren
- Regelmäßig zweimal täglich Zähne putzen, ideal mit einer elektrischen Zahnbürste
- Zahnseide oder Interdentalbürsten täglich verwenden
- Professionelle Zahnreinigung alle sechs bis zwölf Monate einplanen
- Zahnpflegeprodukte für sensible oder aufgehellte Zähne verwenden
Wer zu extrinsischen Verfärbungen neigt, für den ist ein regelmäßiges professionelles Reinigungsintervall wahrscheinlich der effektivste langfristige Ansatz: Verfärbungen werden frühzeitig entfernt, bevor sie tief in die Schmelzstruktur eindringen können.
Missverständnisse rund um Zahnverfärbung
Rund um das Thema Zahnverfärbung kursieren viele Mythen, besonders im Bereich der Hausmittel und frei verkäuflichen Produkte. Einige davon werden wir hier direkt ansprechen.
Zitronensaft und Natron: Beide werden regelmäßig als natürliche Aufhellungsmittel beworben. Der Gedanke dahinter klingt logisch: Zitrone als Säure, Natron als mildes Schleifmittel. Das Problem: Beide können die Schmelzoberfläche angreifen. Eine aufgeraute Oberfläche nimmt Farbstoffe schneller auf, das Ergebnis kann paradoxerweise sein, dass sich die Zähne nach einer Weile stärker verfärben als zuvor.
Aktivkohle-Zahnpasta: Sehr modisch in den sozialen Netzwerken, aber wissenschaftlich nicht gut belegt. Aktivkohle wirkt abrasiv und kann dabei helfen, oberflächliche Beläge zu entfernen, mit dem Risiko einer Schmelzerosion bei regelmäßiger Anwendung. Die meisten zahnmedizinischen Fachgesellschaften stehen dieser Methode skeptisch gegenüber.
Weisse Zähne als Gesundheitsmerkmal: Natürliche Zähne sind selten rein weiß. Das Bild makellos weißer Zähne, das wir aus der Werbung kennen, ist häufig digital nachbearbeitet oder das Ergebnis umfangreicher ästhetischer Restaurationen. "Gesunde" Zähne haben Farbe, Wärme und Transluzenz. Wer Zähne anstrebt, die so hell sind wie ein weißes Blatt Papier, wird im natürlichen Bereich meistens enttäuscht werden.
Aufhellende Zahnpasta: Die meisten aufhellenden Zahnpasten wirken durch leicht erhöhte Abrasivität oder optische Effekte (blaue Pigmente, die Gelbstiche überlagern). Sie können oberflächliche Beläge reduzieren, aber keine echten intrinsischen Verfärbungen aufhellen. Für regelmäßigen Gebrauch sind sie meist unbedenklich, sollten aber nicht als Ersatz für professionelle Reinigungen gesehen werden.
Häufig gestellte Fragen (FAQ)
Wie lange hält eine professionelle Zahnaufhellung?
Das hängt stark von Lebensgewohnheiten ab. Bei Patienten, die auf stark färbende Lebensmittel und Tabak verzichten und regelmäßig professionelle Reinigungen durchführen lassen, kann ein Bleaching-Ergebnis zwei bis fünf Jahre halten. Wer intensiv Kaffee trinkt oder raucht, wird schneller Nachverfärbungen feststellen. Auffrischungsbehandlungen sind möglich und deutlich kürzer als die Erstbehandlung.
Kann ich Zahnverfärbungen zu Hause wirklich effektiv behandeln?
Für leichte oberflächliche Verfärbungen können speziell konzentrierte Bleaching-Schienen, die vom Zahnarzt individuell angepasst werden, sehr wirksam sein. Gekaufte Streifen oder Pasten aus dem Supermarkt liefern bei echten Verfärbungen meist nur marginale Ergebnisse. Hausmittel wie Zitrone oder Natron sind aus Schmelzschutzgründen keine empfehlenswerte Dauerlösung. Bei sichtbaren Verfärbungen ist eine professionelle Einschätzung immer der sinnvollste erste Schritt.
Verfärben sich Veneers und Kronen genauso wie natürliche Zähne?
Keramik-Veneers und Zirkoniumkronen sind deutlich verfärbungsresistenter als natürlicher Zahnschmelz. Sie nehmen Kaffee- oder Nikotinteine kaum auf. Komposit-Materialien, zum Beispiel beim Bonding, können sich über Zeit leicht verfärben, weil Komposit eine etwas poröser Oberfläche hat als Keramik. Der Pflegeaufwand für keramische Restaurationen ist im Vergleich geringer.
Was ist der Unterschied zwischen Zahnaufhellung und Laminat Veneers bei Zahnverfärbung?
Zahnaufhellung wirkt auf die bestehende Zahnstruktur und hellt die eigene Zahnfarbe auf. Sie ist schonender und reversibel, aber begrenzt in der erreichbaren Helligkeit und nicht wirksam bei sehr starken intrinsischen Verfärbungen. Laminat Veneers ersetzen die sichtbare Vorderfläche des Zahns durch eine neue Keramikschale, was vollständige Kontrolle über Farbe und Form ermöglicht. Sie sind dauerhafter und effektiver bei starken Verfärbungen, erfordern aber eine Präparation der Zahnoberfläche.
Ist eine Zahnverfärbung beim Zahnarzt in der Türkei behandeln riskant?
Das Risiko hängt, wie überall, vor allem von der Qualität der Klinik und des Behandlerteams ab. In der Türkei gibt es ein breites Spektrum an Kliniken, von sehr erfahrenen, international akkreditierten Einrichtungen bis hin zu weniger renommierten Anbietern. Wer auf Empfehlungen, Patientenbewertungen, Transparenz bei der Behandlungsplanung und moderne Ausstattung achtet, kann in İstanbul oder Istanbul qualitativ hochwertige Behandlungen zu deutlich günstigeren Preisen als in Deutschland erhalten. Unser Team berät Sie gerne vorab und begleitet Sie durch den gesamten Prozess.
Können sich Kinder ebenfalls Zahnverfärbungen entwickeln?
Ja, auch bei Kindern kommen Zahnverfärbungen vor. Häufige Ursachen im Milchzahnbereich sind Eisentropfen, bestimmte Antibiotika, Karies oder auch Traumata durch Stürze. Da das Milchgebiss wichtig für die Entwicklung des bleibenden Gebisses ist, sollten auffällige Verfärbungen beim Kinderzahnarzt abgeklärt werden.

