Diş Çürüğü ve Çukur (Kavite): Farklar ve Tedavi Seçenekleri
Gülüşünüzü ertelemeyin. Uzman hekimlerimizle tedavi seçeneklerini görüşmek için hemen yazın.
WhatsAppDiş Çürüğü çoğu kişinin “küçük bir leke” gibi gördüğü ama aslında dişin kimyası, ağız mikrobiyotası ve günlük alışkanlıklarla yakından ilişkili bir süreçtir. Zamanla mine, dentin ve hatta pulpa dokusuna doğru ilerleyebilen bu süreç; bazen fark edilmeden büyür, bazen de bir gün aniden sıcak soğuk hassasiyetiyle kendini hatırlatır. Peki “çürük” dediğimiz şey ile “çukur” (kavite) aynı mı, yoksa biri diğerinin sonucu mu?
İçindekiler
- Diş Çürüğü nedir, kavite (çukur) ne demek?
- Diş Çürüğü nasıl oluşur? Ağız içi ekosistemi ve asit döngüsü
- Diş Çürüğü belirtileri: Her zaman ağrı olur mu?
- Diş Çürüğü değerlendirmesi: Hekimler neye bakar, hangi testler kullanılır?
- Diş Çürüğü tedavi seçenekleri: Erken evre, kavite ve daha derin lezyonlar
- Diş Çürüğü riskini etkileyen faktörler: Neden bazı kişiler daha yatkın?
- Diş Çürüğü ile yaşam: Korunma yaklaşımı ve alışkanlıkların bilimi
- Diş Çürüğü ve kaviteyi ayırmak neden önemlidir?

Diş Çürüğü nedir, kavite (çukur) ne demek?
Diş Çürüğü, en basit haliyle, dişin sert dokularının asit etkisiyle mineral kaybetmesi ve yapısal bütünlüğünün zayıflaması sürecidir. Burada kilit nokta “süreç” kelimesi: Çürük, çoğu zaman bir anda oluşmaz. Mine yüzeyinde mikroskobik düzeyde başlayan mineral kaybı, uygun koşullarda ilerleyerek klinik olarak görülebilir bir lezyona dönüşebilir.
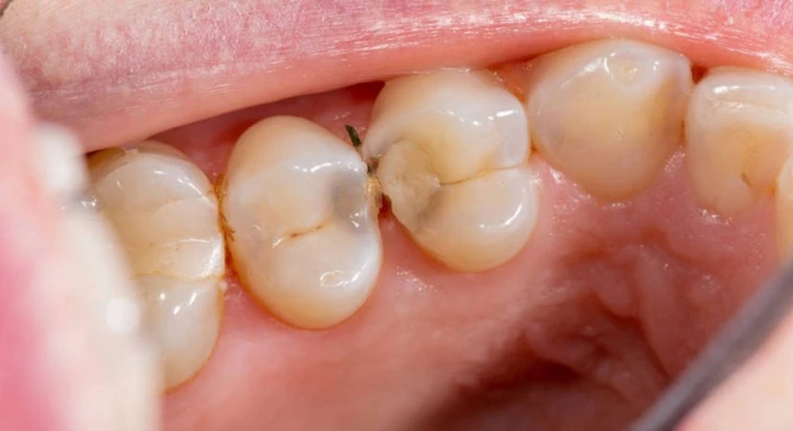
Kavite ise genellikle bu sürecin “gözle görülür ve yüzey bütünlüğünün bozulduğu” evresini anlatır. Yani her Diş Çürüğü kavite olmak zorunda değildir; erken evrelerde geri dönüş potansiyeli konuşulabilirken (örneğin yüzeysel mineral kaybı), kavite oluştuğunda dişte fiziksel bir “oyuk” ortaya çıkar ve yaklaşım çoğu zaman değişir. Bu yüzden hekimlerin “çürük var” derken bazen “lezyon var ama kavite değil” gibi ayrımlar yapması rastlantı değildir.
Bir başka ayrım da konumla ilgilidir. Diş Çürüğü; dişlerin çiğneme yüzeyindeki pit ve fissürlerde, iki diş arasındaki temas noktalarında ya da diş eti hizasında görülebilir. Kavite ise o bölgedeki dokunun artık dayanamayıp çöktüğü, temizlikle bile “kapanmayan” bir boşluğun oluştuğu aşamaya karşılık gelir.
Diş Çürüğü nasıl oluşur? Ağız içi ekosistemi ve asit döngüsü
Diş Çürüğü denince akla hemen şeker gelir; evet, şeker önemli bir parça ama hikâye daha “biyokimyasal”. Ağızda doğal olarak yaşayan bakteriler, karbonhidratları (şeker ve nişasta türevleri dahil) metabolize ederken asit üretir. Bu asitler, diş minesindeki mineral yapıdan (özellikle hidroksiapatit kristallerinden) çözünmeye yol açabilir. Kısacası; diş yüzeyinde gün içinde defalarca “asit saldırısı” olur.
Burada kritik olan, saldırıların sayısı ve süresidir. Tek seferde çok şeker yemek yerine gün boyu atıştırmak, asitlenme penceresini uzatabilir. Tükürük ise bu hikâyenin “dengeleyici kahramanı”dır: Asidi tamponlar, mineralleri geri kazandırmaya yardım eder, ağız ortamını daha stabil tutar. Tükürük akışının azaldığı durumlarda Diş Çürüğü riskinin konuşulması bu yüzden şaşırtıcı değildir.
Ayrıca plak biyofilmi, yani diş üzerinde biriken mikrobiyal tabaka, asit üretiminin merkez üssüdür. Plak ne kadar olgun ve kalınsa, asitlerin diş yüzeyinde kalma süresi de o kadar artabilir. Bu nedenle Diş Çürüğü yalnızca “şeker” değil; bakteri, tükürük, diş yapısı, alışkanlıklar ve hatta bazı sistemik durumların birlikte oluşturduğu bir denklem olarak ele alınır.
Konuyu bilimsel zeminde okumak isterseniz, Dünya Sağlık Örgütü’nün ağız sağlığı sayfası genel çerçeveyi iyi özetler: World Health Organization oral health
Diş Çürüğü belirtileri: Her zaman ağrı olur mu?
Diş Çürüğü her zaman “dişim zonkluyor” diye başlamaz. Hatta erken dönemde çoğu kişi hiçbir şey hissetmeyebilir. Bu da çürüğün en kurnaz tarafıdır: Sessizce ilerleyebilir ve ilk fark edildiğinde kaviteye dönüşmüş olabilir.
Yine de bazı ipuçları vardır. Mine düzeyindeki başlangıç lezyonları bazen tebeşirimsi beyaz opak alanlar olarak görülebilir. Bu görünüm, yüzeyin mineral kaybına bağlı ışığı farklı yansıtmasıyla ilişkilendirilebilir. Dentin etkilenmeye başladığında renk koyulaşabilir; kahverengi tonlar veya gölgelenme oluşabilir. Özellikle iki diş arasındaki Diş Çürüğü, ayna ile bakınca saklanmayı sever; röntgen değerlendirmeleri bu noktada devreye girer.
Hassasiyet konusu ise katmanlarla ilgilidir. Mine sinir içermez; bu yüzden yalnızca mineyle sınırlı bir Diş Çürüğü her zaman ağrı üretmeyebilir. Dentin ve pulpa dokusuna yaklaştıkça, soğuk tatlı hassasiyeti, basınçla sızlama veya spontan ağrı olasılığı artabilir. Ancak ağrı yok diye “sorun yok” demek de doğru bir yaklaşım sayılmaz; çünkü bazı çürükler genişleyip sinire çok yaklaşana kadar sessiz kalabilir.

Diş Çürüğü değerlendirmesi: Hekimler neye bakar, hangi testler kullanılır?
Diş Çürüğü değerlendirmesi tek bir yönteme dayanmaz; genellikle klinik muayene, risk analizi ve görüntüleme birlikte düşünülür. Hekimler diş yüzeyindeki renk değişikliklerini, yüzey bütünlüğünü, plak birikimini, çiğneme yüzeyindeki fissürlerin durumunu ve diş eti hizasındaki alanları inceler. Ayrıca hastanın günlük ağız bakımı, beslenme düzeni, tükürük kuruluğu hissi gibi faktörler de tabloya eklenir.
Görüntüleme tarafında en sık konuşulan yöntemlerden biri bite-wing röntgenlerdir; özellikle iki diş arasındaki Diş Çürüğü için yol gösterici olabilir. Bazı durumlarda farklı açılardan görüntüler veya ek değerlendirme araçları düşünülebilir. Bunun amacı “var mı yok mu?”dan ziyade, çürüğün derinliği ve yayılımı hakkında daha isabetli bir fikir edinmektir.
Aşağıdaki tablo, klinik pratikte konuşulan bazı bulguları ve olası yorumlarını genel hatlarıyla özetler. (Bu tablo tanı yerine geçmez; amaç kavramları netleştirmektir.)
|
Bulgular |
Diş Çürüğü açısından olası anlamı |
Sık görüldüğü alanlar |
|
Tebeşirimsi beyaz leke |
Erken mineral kaybı, başlangıç lezyonu |
Diş eti hizası, braket çevresi |
|
Kahverengi gölgelenme |
Daha ileri lezyon, dentin etkilenimi ihtimali |
Fissürler, ara yüzler |
|
Takılma hissi / yüzey bozulması |
Kavite oluşumu olasılığı |
Çiğneme yüzeyi pit-fissür |
|
Soğuğa tatlıya hassasiyet |
Dentin etkilenimi veya pulpa yakınlığı ihtimali |
Boyun bölgesi, geniş lezyonlar |
Bilimsel referanslara göz atmak isteyenler için, çürük süreçlerinin biyolojisi ve önlenmesi hakkında temel bilgiler şu kaynakta bulunabilir: CDC Oral Health
Diş Çürüğü tedavi seçenekleri: Erken evre, kavite ve daha derin lezyonlar
Diş Çürüğü tedavisinde yaklaşım, lezyonun evresine göre değişebilir. Erken evrelerde amaç, mineral kaybını yavaşlatmak ve ortamı daha az “çürük dostu” hale getirmektir. Bu aşamada fluorid uygulamaları, profesyonel temizlik, ara yüz bakımının düzenlenmesi gibi yöntemler hekim tarafından değerlendirilebilir. Buradaki mantık, mine seviyesindeki lezyonlarda yüzey bütünlüğü bozulmamışsa “onarım”ın bir ölçüde biyolojik yollarla desteklenebilmesidir.
Kavite oluştuğunda ise iş değişir. Çünkü artık diş dokusunda fiziksel bir kayıp vardır ve bu alan plak birikimi için daha elverişli bir niş haline gelebilir. Bu noktada restoratif tedaviler gündeme gelir. Dolgu, inley/onley gibi restorasyonlar ya da lezyonun boyutuna göre farklı yaklaşımlar konuşulabilir. Seçim; lezyonun büyüklüğü, dişin konumu, çiğneme kuvvetleri, estetik beklentiler ve ağız hijyeni gibi birçok parametreye bağlıdır.
Daha derin Diş Çürüğü vakalarında pulpa dokusu etkilenmiş olabilir. Bu durumda kanal tedavisi gibi endodontik seçenekler tartışılabilir. Bazı dişlerde ise doku kaybı büyükse kuron gibi daha kapsamlı restorasyonlar gündeme gelebilir. Burada önemli olan, tek bir “en iyi” tedavinin her zaman olmaması; planlamanın kişiye ve dişe özgü yapılmasıdır.
Diş Çürüğü riskini etkileyen faktörler: Neden bazı kişiler daha yatkın?
Diş Çürüğü riskini artıran veya azaltan faktörler çoğu zaman bir araya gelerek etkili olur. Kimi insanlar “çok dikkat ediyorum ama yine çürüyor” diyebilir; kimileri ise daha düzensiz bakıma rağmen daha az sorun yaşar. Bu fark, yalnızca fırçalama sayısıyla açıklanamayabilir.
Aşağıdaki başlıklar, risk değerlendirmesinde sık konuşulan unsurlardır:
- Beslenme sıklığı ve içerik
Şekerli ve nişastalı gıdaların sık tüketimi, asit ataklarını artırabilir. Yapışkan gıdalar diş yüzeyinde daha uzun kalabildiği için etkisi farklılaşabilir. - Tükürük akışı ve ağız kuruluğu
Tükürük, tamponlama ve remineralizasyon açısından önemlidir. Ağız kuruluğuna yol açabilen ilaçlar veya durumlar risk profilini değiştirebilir. - Plak kontrolü ve ara yüz temizliği
Diş Çürüğü özellikle iki diş arasını sevdiği için, yalnızca diş fırçası bazen yetmeyebilir. Ara yüz ipi veya ara yüz fırçası alışkanlığı, risk yönetiminde ayrı bir başlıktır. - Diş dizilimi ve restorasyonlar
Çapraşıklık, girintili çıkıntılı yüzeyler, eski restorasyon kenarları gibi alanlar plak tutmayı kolaylaştırabilir.
Bu faktörler, bir “kader” listesi değildir; daha çok riskin neden kişiden kişiye değişebildiğini anlatan bir çerçevedir. Avrupa Sağlık Diş gibi kliniklerde yapılan değerlendirmelerde genellikle bu parametrelerin bir kısmı birlikte ele alınır.
Diş Çürüğü ile yaşam: Korunma yaklaşımı ve alışkanlıkların bilimi
Diş Çürüğü konusunda korunma yaklaşımını “tek hareketle çözüm” gibi düşünmek yerine, küçük alışkanlıkların toplam etkisi olarak görmek daha gerçekçidir. Çünkü çürük, tek bir sebepten değil, uzun süreli koşulların birleşiminden beslenir.
Örneğin gün içinde sık atıştırma, dişlerin asit yükünü artırabilir. Şekerli içecekleri uzun süre yudumlamak, asit etkisini zamana yayabilir. Öte yandan düzenli plak kontrolü, fluoridli ürünlerin uygun kullanımı ve profesyonel takipler, çürük ekosisteminin dengesini değiştirebilir. Burada “nasıl olsa fırçalıyorum” demek yerine, fırçalama tekniği, süre, ara yüz temizliği ve diş eti hizasının etkin temizliği gibi detaylar fark yaratabilir.
Bir de işin eğlenceli, bilimsel yanı var: Ağız içi bakteri topluluğu sabit değildir; beslenme ve hijyen rutiniyle kompozisyon değişebilir. Yani Diş Çürüğü riskini, sadece dişin “sertliği” değil, o dişin üzerinde yaşayan mikrobiyal topluluğun davranışı da etkiler. Bu, modern diş hekimliğinin koruyucu yaklaşımları neden daha çok vurguladığını açıklayan önemli bir arka plandır.
Diş Çürüğü ve kaviteyi ayırmak neden önemlidir?
Diş Çürüğü, başlangıçtan ileri evreye uzanan bir süreçtir; kavite ise çoğu zaman bu sürecin “yapısal kırılma” noktası olarak düşünülebilir. İkisini ayırmak, hem gereksiz müdahalelerden kaçınma hem de gerekli olduğunda doğru restoratif planlamayı seçme açısından önem taşır.
Avrupa Sağlık Diş perspektifinden bakıldığında; mesele yalnızca bir deliği kapatmak değil, çürüğü oluşturan koşulları da anlamaktır. Çünkü aynı ağız içinde, aynı alışkanlıklarla yeni bir Diş Çürüğü için zemin oluşabilir. Bu nedenle değerlendirme, kişisel risk faktörleri ve seçeneklerin artı eksi yönleri üzerine konuşmak çoğu zaman sürecin doğal parçasıdır.

